Antibody data
- Antibody Data
- Antigen structure
- References [0]
- Comments [0]
- Validations
- Western blot [1]
- Immunohistochemistry [8]
Submit
Validation data
Reference
Comment
Report error
- Product number
- LS-C340496 - Provider product page

- Provider
- LSBio
- Product name
- PIN4 Antibody (clone OTI7H2) LS-C340496
- Antibody type
- Monoclonal
- Description
- Immunoaffinity purified
- Reactivity
- Human
- Host
- Mouse
- Isotype
- IgG
- Antibody clone number
- OTI7H2
- Storage
- Store at -20°C. Avoid freeze-thaw cycles.
No comments: Submit comment
Enhanced validation
- Submitted by
- LSBio (provider)
- Enhanced method
- Genetic validation
- Main image

- Experimental details
- HEK293T cells were transfected with the pCMV6-ENTRY control (Left lane) or pCMV6-ENTRY PIN4 (Right lane) cDNA for 48 hrs and lysed. Equivalent amounts of cell lysates (5 ug per lane) were separated by SDS-PAGE and immunoblotted with anti-PIN4 (1:2000).
Supportive validation
- Submitted by
- LSBio (provider)
- Enhanced method
- Genetic validation
- Main image

- Experimental details
- IHC of paraffin-embedded Adenocarcinoma of Human breast tissue using anti-PIN4 mouse monoclonal antibody. (Heat-induced epitope retrieval by Tris-EDTA, pH8.0)(1:150).
- Submitted by
- LSBio (provider)
- Enhanced method
- Genetic validation
- Main image

- Experimental details
- IHC of paraffin-embedded Carcinoma of Human kidney tissue using anti-PIN4 mouse monoclonal antibody. (Heat-induced epitope retrieval by Tris-EDTA, pH8.0)(1:150).
- Submitted by
- LSBio (provider)
- Enhanced method
- Genetic validation
- Main image

- Experimental details
- IHC of paraffin-embedded Human liver tissue using anti-PIN4 mouse monoclonal antibody. (Heat-induced epitope retrieval by Tris-EDTA, pH8.0)(1:150).
- Submitted by
- LSBio (provider)
- Enhanced method
- Genetic validation
- Main image

- Experimental details
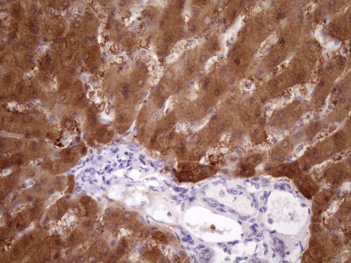
- IHC of paraffin-embedded Carcinoma of Human liver tissue using anti-PIN4 mouse monoclonal antibody. (Heat-induced epitope retrieval by Tris-EDTA, pH8.0)(1:150).
- Submitted by
- LSBio (provider)
- Enhanced method
- Genetic validation
- Main image

- Experimental details
- IHC of paraffin-embedded Adenocarcinoma of Human ovary tissue using anti-PIN4 mouse monoclonal antibody. (Heat-induced epitope retrieval by Tris-EDTA, pH8.0)(1:150).
- Submitted by
- LSBio (provider)
- Enhanced method
- Genetic validation
- Main image

- Experimental details
- IHC of paraffin-embedded Human pancreas tissue using anti-PIN4 mouse monoclonal antibody. (Heat-induced epitope retrieval by Tris-EDTA, pH8.0)(1:150).
- Submitted by
- LSBio (provider)
- Enhanced method
- Genetic validation
- Main image

- Experimental details
- IHC of paraffin-embedded Carcinoma of Human pancreas tissue using anti-PIN4 mouse monoclonal antibody. (Heat-induced epitope retrieval by Tris-EDTA, pH8.0)(1:150).
- Submitted by
- LSBio (provider)
- Enhanced method
- Genetic validation
- Main image

- Experimental details
- IHC of paraffin-embedded Human bladder tissue using anti-PIN4 mouse monoclonal antibody. (Heat-induced epitope retrieval by Tris-EDTA, pH8.0)(1:150).