Antibody data
- Antibody Data
- Antigen structure
- References [6]
- Comments [0]
- Validations
- Western blot [1]
- Immunohistochemistry [2]
Submit
Validation data
Reference
Comment
Report error
- Product number
- 15312-1-AP - Provider product page

- Provider
- Proteintech Group
- Proper citation
- Proteintech Cat#15312-1-AP, RRID:AB_2196821
- Product name
- STXBP2 antibody
- Antibody type
- Polyclonal
- Description
- STXBP2 antibody (Cat. #15312-1-AP) is a rabbit polyclonal antibody that shows reactivity with human, mouse and has been validated for the following applications: IHC, WB,ELISA.
- Reactivity
- Human, Mouse
- Host
- Rabbit
- Conjugate
- Unconjugated
- Isotype
- IgG
- Vial size
- 20ul, 150ul
Submitted references Molecular Mechanisms of Intracellular Delivery of Nanoparticles Monitored by an Enzyme-Induced Proximity Labeling.
The septin cytoskeleton regulates natural killer cell lytic granule release.
Molecular analysis of the novel L243R mutation in STXBP2 reveals impairment of degranulation activity.
SNAP25/syntaxin4/VAMP2/Munc18-1 Complexes in Spinal Dorsal Horn Contributed to Inflammatory Pain.
Transcriptional regulation of Munc13-4 expression in cytotoxic lymphocytes is disrupted by an intronic mutation associated with a primary immunodeficiency.
An N-Terminal Missense Mutation in STX11 Causative of FHL4 Abrogates Syntaxin-11 Binding to Munc18-2.
Ren J, Zhang Z, Geng S, Cheng Y, Han H, Fan Z, Dai W, Zhang H, Wang X, Zhang Q, He B
Nano-micro letters 2024 Feb 1;16(1):103
Nano-micro letters 2024 Feb 1;16(1):103
The septin cytoskeleton regulates natural killer cell lytic granule release.
Phatarpekar PV, Overlee BL, Leehan A, Wilton KM, Ham H, Billadeau DD
The Journal of cell biology 2020 Nov 2;219(11)
The Journal of cell biology 2020 Nov 2;219(11)
Molecular analysis of the novel L243R mutation in STXBP2 reveals impairment of degranulation activity.
Viñas-Giménez L, Donadeu L, Alsina L, Rincón R, de la Campa EÁ, Esteve-Sole A, Català A, Colobran R, de la Cruz X, Sayós J, Martínez-Gallo M
International journal of hematology 2020 Mar;111(3):440-450
International journal of hematology 2020 Mar;111(3):440-450
SNAP25/syntaxin4/VAMP2/Munc18-1 Complexes in Spinal Dorsal Horn Contributed to Inflammatory Pain.
Duan XL, Guo Z, He YT, Li YX, Liu YN, Bai HH, Li HL, Hu XD, Suo ZW
Neuroscience 2020 Mar 1;429:203-212
Neuroscience 2020 Mar 1;429:203-212
Transcriptional regulation of Munc13-4 expression in cytotoxic lymphocytes is disrupted by an intronic mutation associated with a primary immunodeficiency.
Cichocki F, Schlums H, Li H, Stache V, Holmes T, Lenvik TR, Chiang SC, Miller JS, Meeths M, Anderson SK, Bryceson YT
The Journal of experimental medicine 2014 Jun 2;211(6):1079-91
The Journal of experimental medicine 2014 Jun 2;211(6):1079-91
An N-Terminal Missense Mutation in STX11 Causative of FHL4 Abrogates Syntaxin-11 Binding to Munc18-2.
Müller ML, Chiang SC, Meeths M, Tesi B, Entesarian M, Nilsson D, Wood SM, Nordenskjöld M, Henter JI, Naqvi A, Bryceson YT
Frontiers in immunology 2014 Jan 14;4:515
Frontiers in immunology 2014 Jan 14;4:515
No comments: Submit comment
Supportive validation
- Submitted by
- Proteintech Group (provider)
- Main image

- Experimental details
- K-562 cells were subjected to SDS PAGE followed by western blot with 15312-1-AP(STXBP2 antibody) at dilution of 1:1000
- Sample type
- cell line
Supportive validation
- Submitted by
- Proteintech Group (provider)
- Main image

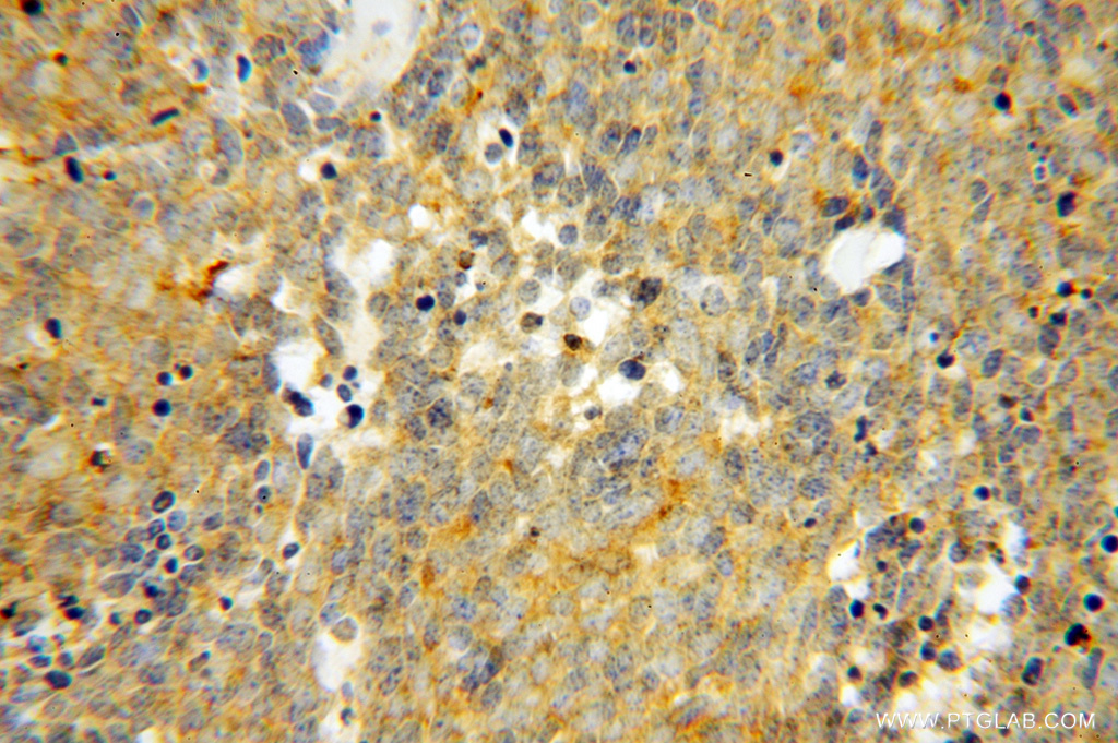
- Experimental details
- Immunohistochemical of paraffin-embedded human lung cancer using 15312-1-AP(STXBP2 antibody) at dilution of 1:100 (under 10x lens)
- Sample type
- tissue
- Submitted by
- Proteintech Group (provider)
- Main image

- Experimental details
- The STXBP2 antibody from Proteintech is a rabbit polyclonal antibody to a recombinant protein of human STXBP2. This antibody recognizes human, mouse antigen. The STXBP2 antibody has been validated for the following applications: ELISA, IHC, WB analysis.