Antibody data
- Antibody Data
- Antigen structure
- References [0]
- Comments [0]
- Validations
- Western blot [1]
- Immunohistochemistry [1]
Submit
Validation data
Reference
Comment
Report error
- Product number
- OAAB09863 - Provider product page

- Provider
- Aviva Systems Biology
- Product name
- SGMS1 antibody - N - terminal region
- Antibody type
- Polyclonal
- Reactivity
- Human
- Host
- Rabbit
- Vial size
- 400ul
- Storage
- Maintain refrigerated at 2-8°C for up to 6 months. For long term storage store at -20°C in small aliquots to prevent freeze-thaw cycles.
No comments: Submit comment
Supportive validation
- Submitted by
- Aviva Systems Biology (provider)
- Main image

- Experimental details
- SGMS1 Antibody (N-term) (Cat. #OAAB09863) western blot analysis in MCF-7 cell line lysates (35µg/lane).This demonstrates the SGMS1 antibody detected the SGMS1 protein (arrow).
Supportive validation
- Submitted by
- Aviva Systems Biology (provider)
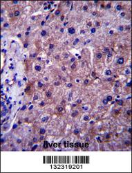
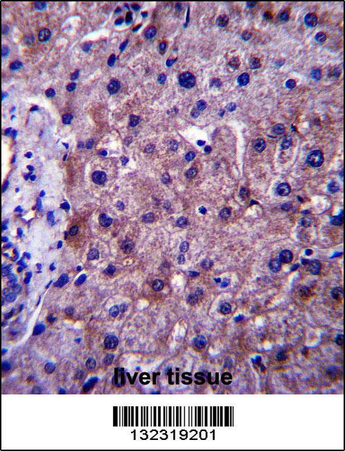
- Main image

- Experimental details
- SGMS1 Antibody (N-term) (Cat. #OAAB09863)immunohistochemistry analysis in formalin fixed and paraffin embedded human liver tissue followed by peroxidase conjugation of the secondary antibody and DAB staining.This data demonstrates the use of SGMS1 Antibody (N-term) for immunohistochemistry. Clinical relevance has not been evaluated.