Antibody data
- Antibody Data
- Antigen structure
- References [8]
- Comments [0]
- Validations
- Western blot [1]
- Immunohistochemistry [2]
Submit
Validation data
Reference
Comment
Report error
- Product number
- 19050-1-AP - Provider product page

- Provider
- Proteintech Group
- Proper citation
- Proteintech Cat#19050-1-AP, RRID:AB_2188417
- Product name
- SGMS1 antibody
- Antibody type
- Polyclonal
- Description
- KD/KO validated SGMS1 antibody (Cat. #19050-1-AP) is a rabbit polyclonal antibody that shows reactivity with human, mouse, rat and has been validated for the following applications: IHC, IP, WB,ELISA.
- Reactivity
- Human, Mouse, Rat
- Host
- Rabbit
- Conjugate
- Unconjugated
- Isotype
- IgG
- Vial size
- 20ul, 150ul
Submitted references Prosaposin maintains lipid homeostasis in dopamine neurons and counteracts experimental parkinsonism in rodents.
Involvement of Huanglian Jiedu Decoction on Microglia with Abnormal Sphingolipid Metabolism in Alzheimer's Disease.
Ablation of sphingosine kinase 2 suppresses fatty liver-associated hepatocellular carcinoma via downregulation of ceramide transfer protein.
Sphingomyelin maintains the cutaneous barrier via regulation of the STAT3 pathway.
The Symbiotic Relationship between the Neural Retina and Retinal Pigment Epithelium Is Supported by Utilizing Differential Metabolic Pathways.
Inhibition of sphingomyelin synthase 1 ameliorates alzheimer-like pathology in APP/PS1 transgenic mice through promoting lysosomal degradation of BACE1.
Aneuploid Cell Survival Relies upon Sphingolipid Homeostasis.
Dysregulated sphingolipid metabolism in endometriosis.
He Y, Kaya I, Shariatgorji R, Lundkvist J, Wahlberg LU, Nilsson A, Mamula D, Kehr J, Zareba-Paslawska J, Biverstål H, Chergui K, Zhang X, Andren PE, Svenningsson P
Nature communications 2023 Sep 19;14(1):5804
Nature communications 2023 Sep 19;14(1):5804
Involvement of Huanglian Jiedu Decoction on Microglia with Abnormal Sphingolipid Metabolism in Alzheimer's Disease.
Qi YY, Heng X, Yao ZY, Qu SY, Ge PY, Zhao X, Ni SJ, Guo R, Yang NY, Zhang QC, Zhu HX
Drug design, development and therapy 2022;16:931-950
Drug design, development and therapy 2022;16:931-950
Ablation of sphingosine kinase 2 suppresses fatty liver-associated hepatocellular carcinoma via downregulation of ceramide transfer protein.
Liu XT, Chung LH, Liu D, Chen J, Huang Y, Teo JD, Han XD, Zhao Y, Guan FHX, Tran C, Lee JY, Couttas TA, Liu K, McCaughan GW, Gorrell MD, Don AS, Zhang S, Qi Y
Oncogenesis 2022 Nov 4;11(1):67
Oncogenesis 2022 Nov 4;11(1):67
Sphingomyelin maintains the cutaneous barrier via regulation of the STAT3 pathway.
Komuro M, Nagane M, Fukuyama T, Luo X, Hiraki S, Miyanabe M, Ishikawa M, Niwa C, Murakami H, Okamoto M, Yamashita T
FASEB journal : official publication of the Federation of American Societies for Experimental Biology 2022 Apr;36(4):e22111
FASEB journal : official publication of the Federation of American Societies for Experimental Biology 2022 Apr;36(4):e22111
The Symbiotic Relationship between the Neural Retina and Retinal Pigment Epithelium Is Supported by Utilizing Differential Metabolic Pathways.
Sinha T, Naash MI, Al-Ubaidi MR
iScience 2020 Apr 24;23(4):101004
iScience 2020 Apr 24;23(4):101004
Inhibition of sphingomyelin synthase 1 ameliorates alzheimer-like pathology in APP/PS1 transgenic mice through promoting lysosomal degradation of BACE1.
Lu MH, Ji WL, Xu DE, Yao PP, Zhao XY, Wang ZT, Fang LP, Huang R, Lan LJ, Chen JB, Wang TH, Cheng LH, Xu RX, Liu CF, Puglielli L, Ma QH
Experimental neurology 2019 Jan;311:67-79
Experimental neurology 2019 Jan;311:67-79
Aneuploid Cell Survival Relies upon Sphingolipid Homeostasis.
Tang YC, Yuwen H, Wang K, Bruno PM, Bullock K, Deik A, Santaguida S, Trakala M, Pfau SJ, Zhong N, Huang T, Wang L, Clish CB, Hemann MT, Amon A
Cancer research 2017 Oct 1;77(19):5272-5286
Cancer research 2017 Oct 1;77(19):5272-5286
Dysregulated sphingolipid metabolism in endometriosis.
Lee YH, Tan CW, Venkatratnam A, Tan CS, Cui L, Loh SF, Griffith L, Tannenbaum SR, Chan JK
The Journal of clinical endocrinology and metabolism 2014 Oct;99(10):E1913-21
The Journal of clinical endocrinology and metabolism 2014 Oct;99(10):E1913-21
No comments: Submit comment
Supportive validation
- Submitted by
- Proteintech Group (provider)
- Main image

- Experimental details
- human heart tissue were subjected to SDS PAGE followed by western blot with 19050-1-AP(SGMS1 antibody) at dilution of 1:300
- Sample type
- tissue
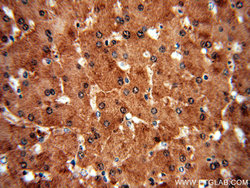
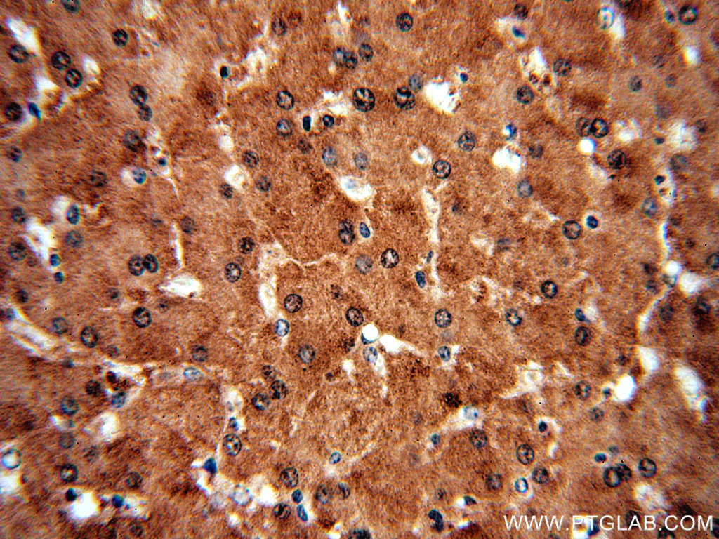
Supportive validation
- Submitted by
- Proteintech Group (provider)
- Main image

- Experimental details
- Immunohistochemical of paraffin-embedded human liver using 19050-1-AP(SGMS1 antibody) at dilution of 1:50 (under 10x lens)
- Sample type
- tissue
- Submitted by
- Proteintech Group (provider)
- Main image

- Experimental details
- The SGMS1 antibody from Proteintech is a rabbit polyclonal antibody to a recombinant protein of human SGMS1. This antibody recognizes human, mouse, rat antigen. The SGMS1 antibody has been validated for the following applications: ELISA, WB, IHC analysis.