Antibody data
- Antibody Data
- Antigen structure
- References [0]
- Comments [0]
- Validations
- Western blot [2]
- Immunohistochemistry [5]
Submit
Validation data
Reference
Comment
Report error
- Product number
- NBP1-92435 - Provider product page

- Provider
- Novus Biologicals
- Proper citation
- Novus Cat#NBP1-92435, RRID:AB_11012924
- Product name
- Rabbit Polyclonal Sphingomyelin synthase 1 Antibody
- Antibody type
- Polyclonal
- Description
- Immunogen affinity purified. Specificity of human Sphingomyelin synthase 1 antibody verified on a Protein Array containing target protein plus 383 other non-specific proteins.
- Reactivity
- Human
- Host
- Rabbit
- Isotype
- IgG
- Vial size
- 0.1 ml
- Storage
- Store at 4C short term. Aliquot and store at -20C long term. Avoid freeze-thaw cycles.
No comments: Submit comment
Supportive validation
- Submitted by
- Novus Biologicals (provider)
- Main image

- Experimental details
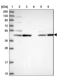
- Western Blot: Sphingomyelin synthase 1 Antibody [NBP1-92435] - Lane 1: Marker [kDa] 250, 130, 95, 72, 55, 36, 28, 17, 10. Lane 2: Human cell line RT-4. Lane 3: Human cell line U-251MG sp. Lane 4: Human plasma (IgG/HSA depleted). Lane 5: Human liver tissue. Lane 6: Human tonsil tissue
- Submitted by
- Novus Biologicals (provider)
- Main image

- Experimental details
- Western Blot: Sphingomyelin synthase 1 Antibody [NBP1-92435] - Analysis in human lung tissue.
Supportive validation
- Submitted by
- Novus Biologicals (provider)
- Main image

- Experimental details
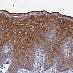
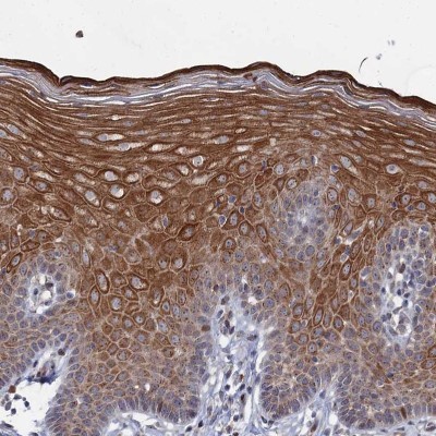
- Immunohistochemistry-Paraffin: Sphingomyelin synthase 1 Antibody [NBP1-92435] - Staining of human oral mucosa shows strong cytoplasmic and membranous positivity in squamous epithelial cells.
- Submitted by
- Novus Biologicals (provider)
- Main image

- Experimental details
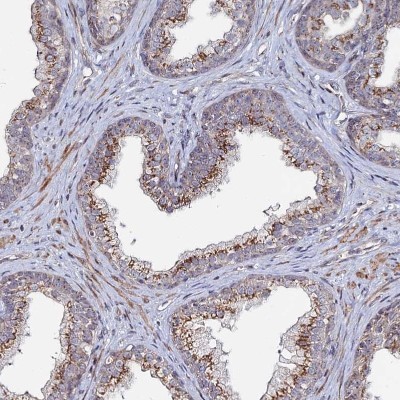
- Immunohistochemistry-Paraffin: Sphingomyelin synthase 1 Antibody [NBP1-92435] - Staining of human prostate shows strong positivity in Golgi apparatus in glandular cells.
- Submitted by
- Novus Biologicals (provider)
- Main image

- Experimental details
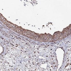
- Immunohistochemistry-Paraffin: Sphingomyelin synthase 1 Antibody [NBP1-92435] - Staining of human cervix, uterine shows moderate to strong cytoplasmic positivity in squamous epithelial cells.
- Submitted by
- Novus Biologicals (provider)
- Main image

- Experimental details
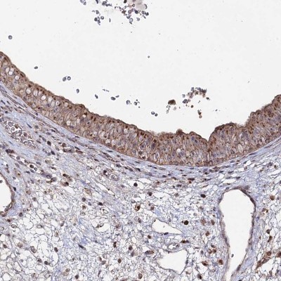
- Immunohistochemistry-Paraffin: Sphingomyelin synthase 1 Antibody [NBP1-92435] - Staining of human urinary bladder shows strong positivity in Golgi apparatus in urothelial cells.
- Submitted by
- Novus Biologicals (provider)
- Main image

- Experimental details
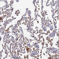
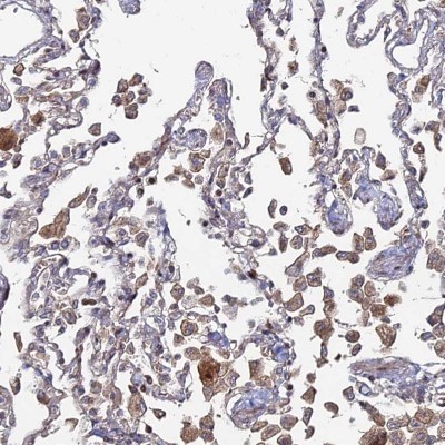
- Immunohistochemistry-Paraffin: Sphingomyelin synthase 1 Antibody [NBP1-92435] - Staining of human lung shows moderate cytoplasmic positivity in macrophages.