Antibody data
- Antibody Data
- Antigen structure
- References [0]
- Comments [0]
- Validations
- Immunohistochemistry [2]
Submit
Validation data
Reference
Comment
Report error
- Product number
- LS-C287655 - Provider product page

- Provider
- LSBio
- Product name
- ZNF335 / NIF1 Antibody (aa1300-C-term) LS-C287655
- Antibody type
- Polyclonal
- Description
- Affinity purified
- Reactivity
- Human, Mouse
- Host
- Rabbit
- Isotype
- IgG
- Storage
- Store at 2-8°C for up to one year.
No comments: Submit comment
Supportive validation
- Submitted by
- LSBio (provider)
- Enhanced method
- Genetic validation
- Main image

- Experimental details
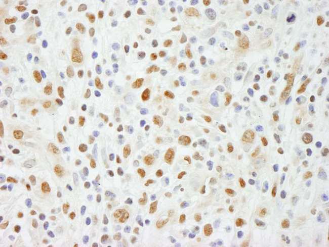
- Detection of Human NIF1 by Immunohistochemistry. Sample: FFPE section of human Hodgkin's lymphoma. Antibody: Affinity purified rabbit anti-NIF1 used at a dilution of 1:200 (1 ug/ml). Detection: DAB.
- Submitted by
- LSBio (provider)
- Enhanced method
- Genetic validation
- Main image

- Experimental details
- Detection of Human NIF1 by Immunohistochemistry. Sample: FFPE section of human Hodgkin's lymphoma. Antibody: Affinity purified rabbit anti-NIF1 used at a dilution of 1:200 (1 ug/ml). Detection: DAB.