Antibody data
- Antibody Data
- Antigen structure
- References [0]
- Comments [0]
- Validations
- Immunohistochemistry [1]
- Other assay [1]
Submit
Validation data
Reference
Comment
Report error
- Product number
- A300-797A - Provider product page

- Provider
- Invitrogen Antibodies
- Product name
- NIF1 Polyclonal Antibody
- Antibody type
- Polyclonal
- Antigen
- Other
- Reactivity
- Human, Mouse
- Host
- Rabbit
- Isotype
- IgG
- Vial size
- 100 µL
- Concentration
- 1 mg/mL
- Storage
- 4° C
No comments: Submit comment
Supportive validation
- Submitted by
- Invitrogen Antibodies (provider)
- Main image

- Experimental details
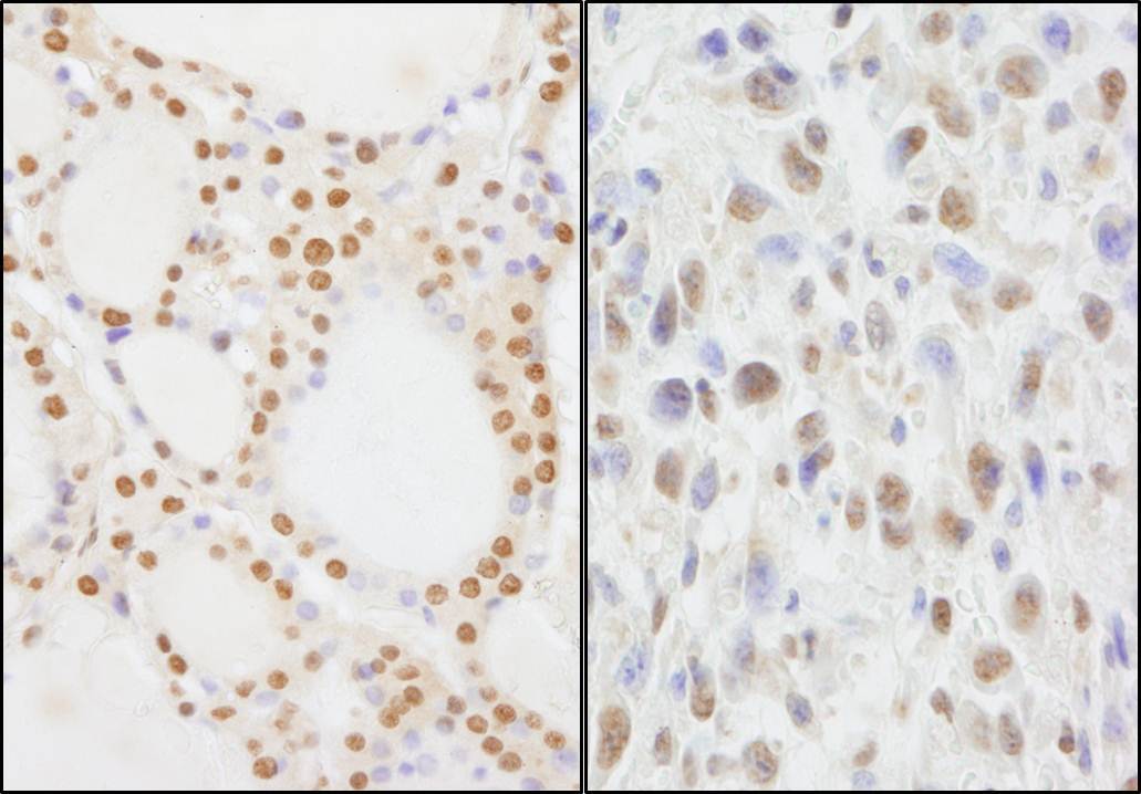
- Detection of human and mouse NIF1 by immunohistochemistry. Sample: FFPE section of human thyroid carcinoma (left) and mouse squamous cell carcinoma (right). Antibody: Affinity purified rabbit anti-NIF1 (Cat. No. A300-797A Lot1) used at a dilution of 1:5,000 (0.2µg/ml). Detection: DAB.
Supportive validation
- Submitted by
- Invitrogen Antibodies (provider)
- Main image

- Experimental details
- Detection of human NIF1 by western blot of immunoprecipitates. Samples: Whole cell lysate (1 mg for IP, 20% of IP loaded) from HeLa cells. Antibodies: Affinity purified rabbit anti-NIF1 antibody BL2737 (Cat. No. A300-797A) used IP at 3 µg/mg lysate. NIF1 was also immunoprecipitated by rabbit anti-NIF1 antibodies BL2738 and BL2739 (Cat. No. A300-798A). For blotting immunoprecipitated NIF1, BL2739 was used at 1 µg/ml. Detection: Chemiluminescence with an exposure time of 30 seconds.