Antibody data
- Antibody Data
- Antigen structure
- References [0]
- Comments [0]
- Validations
- Western blot [1]
- Immunocytochemistry [1]
- Immunohistochemistry [6]
- Flow cytometry [1]
Submit
Validation data
Reference
Comment
Report error
- Product number
- GTX83909 - Provider product page

- Provider
- GeneTex
- Proper citation
- GeneTex Cat#GTX83909, RRID:AB_10732162
- Product name
- PEPD antibody [1B7]
- Antibody type
- Monoclonal
- Reactivity
- Human, Mouse
- Host
- Mouse
No comments: Submit comment
Supportive validation
- Submitted by
- GeneTex (provider)
- Main image

- Experimental details
- HEK293T cells were transfected with the pCMV6-ENTRY control (Left lane) or pCMV6-ENTRY PEPD (Right lane) cDNA for 48 hrs and lysed. Equivalent amounts of cell lysates (5 ug per lane) were separated by SDS-PAGE and immunoblotted with anti-PEPD.
- Validation comment
- WB
Supportive validation
- Submitted by
- GeneTex (provider)
- Main image

- Experimental details
- Anti-PEPD mouse monoclonal antibody (GTX83909) immunofluorescent staining of COS7 cells transiently transfected with PEPD
Supportive validation
- Submitted by
- GeneTex (provider)
- Main image

- Experimental details
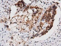
- Immunohistochemical staining of paraffin-embedded Carcinoma of Human pancreas tissue using anti-PEPD mouse monoclonal antibody. (GTX83909, Dilution 1:50)
- Submitted by
- GeneTex (provider)
- Main image

- Experimental details
- Immunohistochemical staining of paraffin-embedded Human bladder tissue using anti-PEPD mouse monoclonal antibody. (GTX83909, Dilution 1:50)
- Submitted by
- GeneTex (provider)
- Main image

- Experimental details
- Immunohistochemical staining of paraffin-embedded Human Kidney tissue using anti-PEPD mouse monoclonal antibody. (GTX83909, Dilution 1:50)
- Submitted by
- GeneTex (provider)
- Main image

- Experimental details
- Immunohistochemical staining of paraffin-embedded Carcinoma of Human bladder tissue using anti-PEPD mouse monoclonal antibody. (GTX83909, Dilution 1:50)
- Submitted by
- GeneTex (provider)
- Main image

- Experimental details
- Immunohistochemical staining of paraffin-embedded Human liver tissue using anti-PEPD mouse monoclonal antibody. (GTX83909, Dilution 1:50)
- Submitted by
- GeneTex (provider)
- Main image

- Experimental details
- Immunohistochemical staining of paraffin-embedded Human lymph node tissue using anti-PEPD mouse monoclonal antibody. (GTX83909, Dilution 1:50)
Supportive validation
- Submitted by
- GeneTex (provider)
- Main image

- Experimental details
- HEK293T cells transfected with either RC201970 overexpress plasmid(Red) or empty vector control plasmid(Blue) were immunostained by anti-PEPD antibody(GTX83909), and then analyzed by flow cytometry.