Antibody data
- Antibody Data
- Antigen structure
- References [0]
- Comments [0]
- Validations
- Western blot [1]
- Immunocytochemistry [1]
- Immunohistochemistry [2]
Submit
Validation data
Reference
Comment
Report error
- Product number
- AF3564 - Provider product page

- Provider
- R&D Systems
- Product name
- Human/Mouse/Rat Dopa Decarboxylase/DDC Antibody
- Antibody type
- Polyclonal
- Description
- Antigen Affinity-purified. Detects human Dopa Decarboxylase/DDC in direct ELISAs and human, mouse and rat Dopa Decarboxylase/DDC in Western blots.
- Reactivity
- Human, Mouse, Rat
- Host
- Goat
- Conjugate
- Unconjugated
- Antigen sequence
P20711- Isotype
- IgG
- Vial size
- 100 ug
- Concentration
- LYOPH
- Storage
- Use a manual defrost freezer and avoid repeated freeze-thaw cycles. 12 months from date of receipt, -20 to -70 °C as supplied. 1 month, 2 to 8 °C under sterile conditions after reconstitution. 6 months, -20 to -70 °C under sterile conditions after reconstitution.
No comments: Submit comment
Supportive validation
- Submitted by
- R&D Systems (provider)
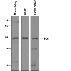
- Main image

- Experimental details
- Detection of Human, Mouse, and Rat Dopa Decarboxylase/DDC by Western Blot. Western blot shows lysates of mouse kidney tissue, PC-12 rat adrenal pheochromocytoma cell line, and human kidney tissue. PVDF membrane was probed with 1 µg/mL of Goat Anti-Human/Mouse/Rat Dopa Decarboxylase/DDC Antigen Affinity-purified Polyclonal Antibody (Catalog # AF3564) followed by HRP-conjugated Anti-Goat IgG Secondary Antibody (Catalog # HAF109). A specific band was detected for Dopa Decarboxylase/DDC at approximately 54 kDa (as indicated). This experiment was conducted under reducing conditions and using Immunoblot Buffer Group 1.
Supportive validation
- Submitted by
- R&D Systems (provider)
- Main image

- Experimental details
- Dopa Decarboxylase/DDC in IMR-32 Human Cell Line. Dopa Decarboxylase/DDC was detected in immersion fixed IMR-32 human neuroblastoma cell line using Goat Anti-Human/Mouse/Rat Dopa Decarboxylase/DDC Antigen Affinity-purified Polyclonal Antibody (Catalog # AF3564) at 10 µg/mL for 3 hours at room temperature. Cells were stained using the NorthernLights™ 557-conjugated Anti-Goat IgG Secondary Antibody (red; Catalog # NL001) and counterstained with DAPI (blue). Specific staining was localized to cytoplasm. View our protocol for Fluorescent ICC Staining of Cells on Coverslips.
Supportive validation
- Submitted by
- R&D Systems (provider)
- Main image

- Experimental details
- Dopa Decarboxylase/DDC in Human Brain. Dopa Decarboxylase/DDC was detected in immersion fixed paraffin-embedded sections of human brain (substantia nigra) using Goat Anti-Human/Mouse/Rat Dopa Decarboxylase/DDC Antigen Affinity-purified Polyclonal Antibody (Catalog # AF3564) at 1 µg/mL overnight at 4 °C. Tissue was stained using the Anti-Goat HRP-DAB Cell & Tissue Staining Kit (brown; Catalog # CTS008) and counterstained with hematoxylin (blue). Specific staining was localized to neuronal cytoplasm. View our protocol for Chromogenic IHC Staining of Paraffin-embedded Tissue Sections.
- Submitted by
- R&D Systems (provider)
- Main image

- Experimental details
- Dopa Decarboxylase/DDC in Mouse Brain. Dopa Decarboxylase/DDC was detected in perfusion fixed frozen sections of mouse brain using Goat Anti-Human/Mouse/Rat Dopa Decarboxylase/DDC Antigen Affinity-purified Polyclonal Antibody (Catalog # AF3564) at 5 µg/mL overnight at 4 °C. Tissue was stained using the Anti-Goat HRP-DAB Cell & Tissue Staining Kit (brown; Catalog # CTS008) and counterstained with hematoxylin (blue). Specific staining was localized to neuronal cytoplasm. View our protocol for Chromogenic IHC Staining of Frozen Tissue Sections.