Antibody data
- Antibody Data
- Antigen structure
- References [0]
- Comments [0]
- Validations
- Western blot [1]
- Immunohistochemistry [1]
Submit
Validation data
Reference
Comment
Report error
- Product number
- GTX87875 - Provider product page

- Provider
- GeneTex
- Proper citation
- GeneTex Cat#GTX87875, RRID:AB_10724739
- Product name
- PEX14 antibody
- Antibody type
- Polyclonal
- Reactivity
- Human, Mouse, Rat
- Host
- Rabbit
No comments: Submit comment
Supportive validation
- Submitted by
- GeneTex (provider)
- Main image

- Experimental details
- Western blot analysis of extracts from A549 cells, using PEX14 Antibody. The lane on the right is treated with the synthesized peptide.
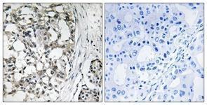
Supportive validation
- Submitted by
- GeneTex (provider)
- Main image

- Experimental details
- Immunohistochemistry analysis of paraffin-embedded human breast carcinoma tissue, using PEX14 Antibody. The picture on the right is treated with the synthesized peptide.