Antibody data
- Antibody Data
- Antigen structure
- References [0]
- Comments [0]
- Validations
- Western blot [1]
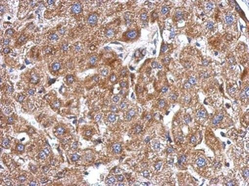
- Immunohistochemistry [1]
Submit
Validation data
Reference
Comment
Report error
- Product number
- ABIN2029100 - Provider product page

- Provider
- antibodies-online
- Product name
- anti-Potassium Channel Tetramerisation Domain Containing 3 (KCTD3) (AA 569-815), (C-Term) antibody
- Antibody type
- Polyclonal
- Antigen
- Recombinant fragment corresponding to a region within amino acids 569-815 of KCTD3
- Description
- Purified by antigen-affinity chromatography.
- Reactivity
- Human
- Host
- Rabbit
- Epitope
- AA 569-815,C-Term
- Isotype
- IgG
- Vial size
- 0.1 mL
- Concentration
- 0.77 mg/mL
- Storage
- Keep as concentrated solution. Aliquot and store at -20°C or below.
- Handling
- Avoid multiple freeze-thaw cycles. Do NOT add Sodium Azide! Use of Sodium Azide will inhibit enzyme activity of horseradish peroxidase.
No comments: Submit comment
Supportive validation
- Submitted by
- antibodies-online (provider)
- Main image

- Experimental details
- Image(s): Western Blotting
Supportive validation
- Submitted by
- antibodies-online (provider)
- Main image

- Experimental details
- Image(s): Immunohistochemistry