Antibody data
- Antibody Data
- Antigen structure
- References [2]
- Comments [0]
- Validations
- Western blot [1]
- Immunocytochemistry [1]
- Immunohistochemistry [8]
Submit
Validation data
Reference
Comment
Report error
- Product number
- NBP1-86909 - Provider product page

- Provider
- Novus Biologicals
- Proper citation
- Novus Cat#NBP1-86909, RRID:AB_11007370
- Product name
- Rabbit Polyclonal Treacher Collins syndrome protein Antibody
- Antibody type
- Polyclonal
- Description
- Immunogen affinity purified. Specificity of human Treacher Collins syndrome protein antibody verified on a Protein Array containing target protein plus 383 other non-specific proteins.
- Reactivity
- Human, Zebrafish
- Host
- Rabbit
- Isotype
- IgG
- Vial size
- 0.1 ml
- Storage
- Store at 4C short term. Aliquot and store at -20C long term. Avoid freeze-thaw cycles.
Submitted references RNA helicase DDX21 mediates nucleotide stress responses in neural crest and melanoma cells.
Tissue-selective effects of nucleolar stress and rDNA damage in developmental disorders.
Santoriello C, Sporrij A, Yang S, Flynn RA, Henriques T, Dorjsuren B, Custo Greig E, McCall W, Stanhope ME, Fazio M, Superdock M, Lichtig A, Adatto I, Abraham BJ, Kalocsay M, Jurynec M, Zhou Y, Adelman K, Calo E, Zon LI
Nature cell biology 2020 Apr;22(4):372-379
Nature cell biology 2020 Apr;22(4):372-379
Tissue-selective effects of nucleolar stress and rDNA damage in developmental disorders.
Calo E, Gu B, Bowen ME, Aryan F, Zalc A, Liang J, Flynn RA, Swigut T, Chang HY, Attardi LD, Wysocka J
Nature 2018 Feb 1;554(7690):112-117
Nature 2018 Feb 1;554(7690):112-117
No comments: Submit comment
Supportive validation
- Submitted by
- Novus Biologicals (provider)
- Main image

- Experimental details
- Western Blot: Treacher Collins syndrome protein Antibody [NBP1-86909] - Lane 1: Marker [kDa] 250, 130, 100, 70, 55, 35, 25, 15, 10. Lane 2: CACO-2
Supportive validation
- Submitted by
- Novus Biologicals (provider)
- Main image

- Experimental details
- Immunocytochemistry/Immunofluorescence
Supportive validation
- Submitted by
- Novus Biologicals (provider)
- Main image

- Experimental details
- Immunohistochemistry-Paraffin: Treacher Collins syndrome protein Antibody [NBP1-86909] - Staining of human cerebral cortex, kidney, lymph node and skin using Anti-TCOF1 antibody NBP1-86909 (A) shows similar protein distribution across tissues to independent antibody NBP1-86908 (B).
- Submitted by
- Novus Biologicals (provider)
- Main image

- Experimental details
- Immunohistochemistry-Paraffin: Treacher Collins syndrome protein Antibody [NBP1-86909] - Staining of human cerebral cortex.
- Submitted by
- Novus Biologicals (provider)
- Main image

- Experimental details
- Immunohistochemistry-Paraffin: Treacher Collins syndrome protein Antibody [NBP1-86909] - Staining of human skin.
- Submitted by
- Novus Biologicals (provider)
- Main image

- Experimental details
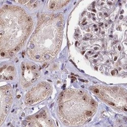
- Immunohistochemistry-Paraffin: Treacher Collins syndrome protein Antibody [NBP1-86909] - Staining of human kidney.
- Submitted by
- Novus Biologicals (provider)
- Main image

- Experimental details
- Immunohistochemistry-Paraffin: Treacher Collins syndrome protein Antibody [NBP1-86909] - Staining of human lymph node.
- Submitted by
- Novus Biologicals (provider)
- Main image

- Experimental details
- Immunohistochemistry-Paraffin: Treacher Collins syndrome protein Antibody [NBP1-86909] - Staining of human colon shows weak to moderate nuclear and nucleolar positivity in glandular cells.
- Submitted by
- Novus Biologicals (provider)
- Main image

- Experimental details
- Immunohistochemistry-Paraffin: Treacher Collins syndrome protein Antibody [NBP1-86909] - Staining of human testis shows moderate to strong nuclear and nucleolar positivity in cells in seminiferous ducts.
- Submitted by
- Novus Biologicals (provider)
- Main image

- Experimental details
- Immunohistochemistry-Paraffin: Treacher Collins syndrome protein Antibody [NBP1-86909] - Staining of human Fallopian tube shows strong nuclear positivity in glandular cells.