Antibody data
- Antibody Data
 - Antigen structure
 - References [0]
 - Comments [0]
 - Validations
 - Immunohistochemistry [1]
 
Submit
Validation data
Reference
Comment
Report error
- Product number
 - 22806 - Provider product page

 - Provider
 - Signalway Antibody LLC
 - Proper citation
 - Signalway Cat#22806, RRID:AB_11123606
 - Product name
 - PDE4C antibody
 - Antibody type
 - Polyclonal
 - Antigen
 - Recombinant protein fragment contain a sequence corresponding to a region within amino acids 325 and 637 of Human PDE4C
 - Host
 - Rabbit
 - Conjugate
 - Unconjugated
 - Vial size
 - 100µl
 
				No comments: Submit comment	
	
			
							
					Supportive validation
					
									
				
		- Submitted by
 - Signalway Antibody LLC (provider)
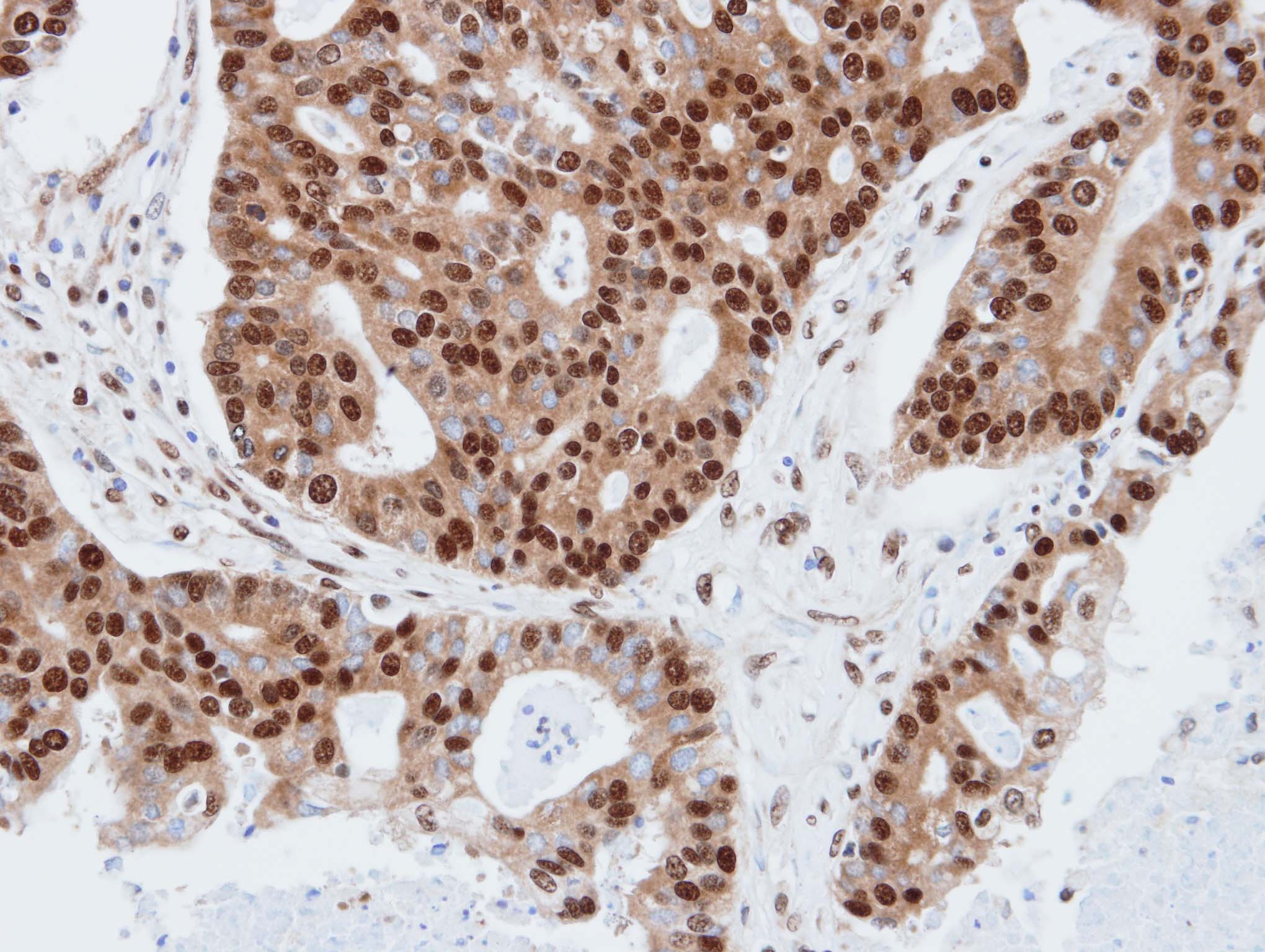
 - Main image
 
- Experimental details
 - Immunohistochemical analysis of paraffin-embedded endo mitral, using PDE4C antibody at 1: 100 dilution.