Antibody data
- Antibody Data
- Antigen structure
- References [0]
- Comments [0]
- Validations
- Immunohistochemistry [5]
Submit
Validation data
Reference
Comment
Report error
- Product number
- PA5-119411 - Provider product page

- Provider
- Invitrogen Antibodies
- Product name
- SHC3 Polyclonal Antibody
- Antibody type
- Polyclonal
- Antigen
- Recombinant full-length protein
- Reactivity
- Human, Porcine
- Host
- Rabbit
- Isotype
- IgG
- Vial size
- 200 μL
- Concentration
- 0.5 mg/mL
- Storage
- Store at 4°C short term. For long term storage, store at -20°C, avoiding freeze/thaw cycles.
No comments: Submit comment
Supportive validation
- Submitted by
- Invitrogen Antibodies (provider)
- Main image

- Experimental details
- Immunohistochemistry analysis of SHC3 in paraffin-embedded Human Cerebrum tissue. Samples were incubated with polyclonal antibody (Product # PA5-119411) at a dilution of 10 µg/mL, followed by HRP-Linked Caprine Anti-Rabbit IgG using a dilution of 2 µg/mL.
- Submitted by
- Invitrogen Antibodies (provider)
- Main image

- Experimental details
- Immunohistochemistry analysis of SHC3 in paraffin-embedded Human Breast cancer tissue. Samples were incubated with polyclonal antibody (Product # PA5-119411) at a dilution of 10 µg/mL, followed by HRP-Linked Caprine Anti-Rabbit IgG using a dilution of 2 µg/mL.
- Submitted by
- Invitrogen Antibodies (provider)
- Main image

- Experimental details
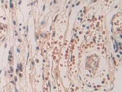
- Immunohistochemistry analysis of SHC3 in paraffin-embedded Human Glioma tissue. Samples were incubated with polyclonal antibody (Product # PA5-119411) at a dilution of 10 µg/mL, followed by HRP-Linked Caprine Anti-Rabbit IgG using a dilution of 2 µg/mL.
- Submitted by
- Invitrogen Antibodies (provider)
- Main image

- Experimental details
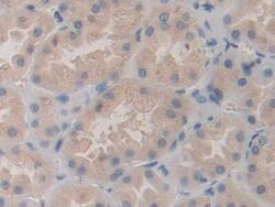
- Immunohistochemistry analysis of SHC3 in paraffin-embedded Human Kidney tissue. Samples were incubated with polyclonal antibody (Product # PA5-119411) at a dilution of 10 µg/mL, followed by HRP-Linked Caprine Anti-Rabbit IgG using a dilution of 2 µg/mL.
- Submitted by
- Invitrogen Antibodies (provider)
- Main image

- Experimental details
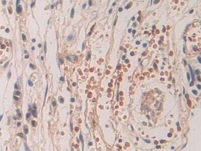
- Immunohistochemistry analysis of SHC3 in paraffin-embedded Human Stomach cancer tissue. Samples were incubated with polyclonal antibody (Product # PA5-119411) at a dilution of 10 µg/mL, followed by HRP-Linked Caprine Anti-Rabbit IgG using a dilution of 2 µg/mL.