Antibody data
- Antibody Data
- Antigen structure
- References [1]
- Comments [0]
- Validations
- Western blot [2]
- Immunocytochemistry [1]
- Immunohistochemistry [1]
Submit
Validation data
Reference
Comment
Report error
- Product number
- GTX101759 - Provider product page

- Provider
- GeneTex
- Proper citation
- GeneTex Cat#GTX101759, RRID:AB_1240631
- Product name
- Creatine kinase (brain) antibody [N1C1]
- Antibody type
- Polyclonal
- Reactivity
- Human, Mouse
- Host
- Rabbit
Submitted references Proteomic analysis of proteins responsible for the development of doxorubicin resistance in human uterine cancer cells.
Lin ST, Chou HC, Chang SJ, Chen YW, Lyu PC, Wang WC, Chang MD, Chan HL
Journal of proteomics 2012 Oct 22;75(18):5822-47
Journal of proteomics 2012 Oct 22;75(18):5822-47
No comments: Submit comment
Supportive validation
- Submitted by
- GeneTex (provider)
- Main image

- Experimental details
- Sample (30 ?g whole cell lysate)A:H129910% SDS PAGEGTX101759 diluted at 1:1000The HRP-conjugated anti-rabbit IgG antibody (GTX213110-01) was used to detect the primary antibody.
- Submitted by
- GeneTex (provider)
- Main image

- Experimental details
- Sample (30 ?g of whole cell lysate) A: NIH-3T3 10% SDS PAGE Creatine Kinase BB antibody GTX101759 diluted at 1:1000 The HRP-conjugated anti-rabbit IgG antibody (GTX213110-01) was used to detect the primary antibody.
Supportive validation
- Submitted by
- GeneTex (provider)
- Main image

- Experimental details
- Creatine kinase (brain) antibody [N1C1] detects Creatine kinase (brain) protein at cytoplasm and nucleus by immunofluorescent analysis.Sample: HeLa cells were fixed in 4% paraformaldehyde at RT for 15 min.Green: Creatine kinase (brain) protein stained by Creatine kinase (brain) antibody [N1C1] (GTX101759) diluted at 1:500.Red: alpha Tubulin, a cytoskeleton marker, stained by alpha Tubulin antibody [B-5-1-2] (GTX11304) diluted at 1:10000.Blue: Hoechst 33342 staining.
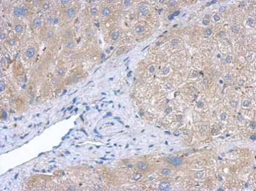
Supportive validation
- Submitted by
- GeneTex (provider)
- Main image

- Experimental details
- Immunohistochemical analysis of paraffin-embedded human hepatoma, using Creatine kinase (brain) antibody(GTX101759) antibody at 1:500 dilution.