Antibody data
- Antibody Data
- Antigen structure
- References [1]
- Comments [0]
- Validations
- Western blot [3]
- Immunohistochemistry [1]
- Flow cytometry [1]
Submit
Validation data
Reference
Comment
Report error
- Product number
- NBP1-47977 - Provider product page

- Provider
- Novus Biologicals
- Proper citation
- Novus Cat#NBP1-47977, RRID:AB_10010975
- Product name
- Mouse Monoclonal VMAT2 Antibody
- Antibody type
- Monoclonal
- Description
- Affinity purified.
- Reactivity
- Human, Mouse
- Host
- Mouse
- Isotype
- IgG
- Vial size
- 0.1 ml
- Concentration
- 1 mg/ml
- Storage
- Store at -20C. Avoid freeze-thaw cycles.
Submitted references Role of oxidative stress in methamphetamine-induced dopaminergic toxicity mediated by protein kinase Cδ.
Shin EJ, Duong CX, Nguyen XT, Li Z, Bing G, Bach JH, Park DH, Nakayama K, Ali SF, Kanthasamy AG, Cadet JL, Nabeshima T, Kim HC
Behavioural brain research 2012 Jun 15;232(1):98-113
Behavioural brain research 2012 Jun 15;232(1):98-113
No comments: Submit comment
Supportive validation
- Submitted by
- Novus Biologicals (provider)
- Main image

- Experimental details
- Western Blot: VMAT2 Antibody (9E11) [NBP1-47977] - HEK293T cells were transfected with the pCMV6-ENTRY control (Left lane) or pCMV6-ENTRY VMAT2 (Right lane) cDNA for 48 hrs and lysed. Equivalent amounts of cell lysates (5 ug per lane) were separated by SDS-PAGE and immunoblotted with anti-VMAT2.
- Submitted by
- Novus Biologicals (provider)
- Main image

- Experimental details
- Western Blot: VMAT2 Antibody (9E11) [NBP1-47977] - Analysis of extracts (10ug) from a mouse cell line and 3 different mouse tissues by using anti SLC18A2 monoclonal antibody.(1:200).
- Submitted by
- Novus Biologicals (provider)
- Main image

- Experimental details
- Western Blot: VMAT2 Antibody (9E11) [NBP1-47977] - VMAT2 protein level by using anti-VMAT2 (9E11) antibody in the striatum of autopsied human brain.
Supportive validation
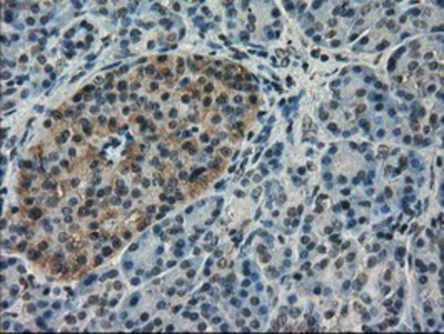
- Submitted by
- Novus Biologicals (provider)
- Main image

- Experimental details
- Immunohistochemistry-Paraffin: VMAT2 Antibody (9E11) [NBP1-47977] - Staining of paraffin-embedded Human pancreas tissue using anti-VMAT2 mouse monoclonal antibody.
Supportive validation
- Submitted by
- Novus Biologicals (provider)
- Main image

- Experimental details
- Flow Cytometry: VMAT2 Antibody (9E11) [NBP1-47977] - HEK293T cells transfected with either overexpression plasmid (Red) or empty vector control plasmid (Blue) were immunostained by anti-VMAT2 antibody, and then analyzed by flow cytometry.