Antibody data
- Antibody Data
- Antigen structure
- References [1]
- Comments [0]
- Validations
- Immunocytochemistry [6]
- Immunoprecipitation [1]
- Immunohistochemistry [1]
- Other assay [1]
Submit
Validation data
Reference
Comment
Report error
- Product number
- PA5-21898 - Provider product page

- Provider
- Invitrogen Antibodies
- Product name
- VPS35 Polyclonal Antibody
- Antibody type
- Polyclonal
- Antigen
- Synthetic peptide
- Description
- Recommended positive controls: Mouse brain, Rat Brain, Hela, A549, H1299, HCT116, HepG2, Molt4, Raji. Predicted reactivity: Mouse (100%), Rat (100%), Bovine (100%). Store product as a concentrated solution. Centrifuge briefly prior to opening the vial.
- Reactivity
- Human, Mouse, Rat
- Host
- Rabbit
- Isotype
- IgG
- Vial size
- 100 μL
- Concentration
- 0.66 mg/mL
- Storage
- Store at 4°C short term. For long term storage, store at -20°C, avoiding freeze/thaw cycles.
Submitted references Dopamine Transporter Localization in Medial Forebrain Bundle Axons Indicates Its Long-Range Transport Primarily by Membrane Diffusion with a Limited Contribution of Vesicular Traffic on Retromer-Positive Compartments.
Bagalkot TR, Block ER, Bucchin K, Balcita-Pedicino JJ, Calderon M, Sesack SR, Sorkin A
The Journal of neuroscience : the official journal of the Society for Neuroscience 2021 Jan 13;41(2):234-250
The Journal of neuroscience : the official journal of the Society for Neuroscience 2021 Jan 13;41(2):234-250
No comments: Submit comment
Supportive validation
- Submitted by
- Invitrogen Antibodies (provider)
- Main image

- Experimental details
- Immunocytochemistry-Immunofluorescence analysis of VPS35 was performed in HeLa cells fixed in 4% paraformaldehyde at RT for 15 min. Green: VPS35 Polyclonal Antibody (Product # PA5-21898) diluted at 1:1000. Red: alpha Tubulin, a cytoskeleton marker. Blue: Hoechst 33342 staining.
- Submitted by
- Invitrogen Antibodies (provider)
- Main image

- Experimental details
- VPS35 antibody detects VPS35 protein at endosome by immunofluorescent analysis. Sample: HeLa cells were fixed in 4% paraformaldehyde at RT for 15 min. Green: VPS35 stained by VPS35 antibody (Product # PA5-21898) diluted at 1:1,000. Red: alpha Tubulin, a cytoskeleton marker, stained by alpha Tubulin Polyclonal Antibody [GT114] (Product # MA5-31466) diluted at 1:1,000. Blue: Fluoroshield with DAPI .
- Submitted by
- Invitrogen Antibodies (provider)
- Main image

- Experimental details
- Immunofluorescence analysis of VPS35 was performed using U-87 MG cells. The cells were fixed with 4% paraformaldehyde for 10 minutes, permeabilized with 0.1% Triton™ X-100 for 10 minutes, and blocked with 1% BSA for 1 hour at room temperature. The cells were labeled with VPS35 Rabbit Polyclonal Antibody (Product # PA5-21898) at 1:200 dilution in 0.1% BSA and incubated overnight at 4 degree and then labeled with Goat anti-Rabbit IgG (H+L) Superclonal™ Secondary Antibody, Alexa Fluor® 488 conjugate (Product # A27034) at a dilution of 1:2000 for 45 minutes at room temperature (Panel a: green). ). Nuclei (Panel b: blue) were stained with ProLong™ Diamond Antifade Mountant with DAPI (Product # P36962). F-actin (Panel c: red) was stained with Rhodamine Phalloidin (Product # R415, 1:300). Panel d represents the composite image showing endosomal localization. Panel e represents control cells with no primary antibody to assess background. The images were captured at 60X magnification. .
- Submitted by
- Invitrogen Antibodies (provider)
- Main image

- Experimental details
- VPS35 antibody detects VPS35 protein at endosome by immunofluorescent analysis. Sample: HeLa cells were fixed in 4% paraformaldehyde at RT for 15 min. Green: VPS35 stained by VPS35 antibody (Product # PA5-21898) diluted at 1:1,000. Red: alpha Tubulin, a cytoskeleton marker, stained by alpha Tubulin Polyclonal Antibody [GT114] (Product # MA5-31466) diluted at 1:1,000. Blue: Fluoroshield with DAPI .
- Submitted by
- Invitrogen Antibodies (provider)
- Main image

- Experimental details
- Immunocytochemistry-Immunofluorescence analysis of VPS35 was performed in HeLa cells fixed in 4% paraformaldehyde at RT for 15 min. Green: VPS35 Polyclonal Antibody (Product # PA5-21898) diluted at 1:1000. Red: alpha Tubulin, a cytoskeleton marker. Blue: Hoechst 33342 staining.
- Submitted by
- Invitrogen Antibodies (provider)
- Main image

- Experimental details
- Immunofluorescence analysis of VPS35 was performed using U-87 MG cells. The cells were fixed with 4% paraformaldehyde for 10 minutes, permeabilized with 0.1% Triton™ X-100 for 10 minutes, and blocked with 1% BSA for 1 hour at room temperature. The cells were labeled with VPS35 Rabbit Polyclonal Antibody (Product # PA5-21898) at 1:200 dilution in 0.1% BSA and incubated overnight at 4 degree and then labeled with Goat anti-Rabbit IgG (Heavy Chain) Superclonal™ Secondary Antibody, Alexa Fluor® 488 conjugate (Product # A27034) at a dilution of 1:2000 for 45 minutes at room temperature (Panel a: green). ). Nuclei (Panel b: blue) were stained with ProLong™ Diamond Antifade Mountant with DAPI (Product # P36962). F-actin (Panel c: red) was stained with Rhodamine Phalloidin (Product # R415, 1:300). Panel d represents the composite image showing endosomal localization. Panel e represents control cells with no primary antibody to assess background. The images were captured at 60X magnification. .
Supportive validation
- Submitted by
- Invitrogen Antibodies (provider)
- Main image

- Experimental details
- Immunoprecipitation of VPS35 was performed on HAP1 WT cell lysate. Antibody-bead conjugate was prepared by adding 2 µg of VPS35 Polyclonal Antibody (Product # PA5-21898) with 30 µL of Dynabeads™ Protein A (Product # 10002D) and rocked for ~1 hour at 4 degree celcius. One mg of protein was incubated with the antibody-bead conjugate for ~2 hours at 4 degree celcius. Following centrifugation and multiple washes, 2% starting material (SM), 2% unbound fraction (UB) and immunoprecipitated fraction (IP) were processed for immunoblot using a different antibody. Ponceau stained transfer of blot is shown (below immunoblot). Data courtesy of YCharOS Inc., an open science company with the mission of characterizing commercially available antibodies using knockout validation.
Supportive validation
- Submitted by
- Invitrogen Antibodies (provider)
- Main image

- Experimental details
- VPS35 Polyclonal Antibody detects VPS35 protein at cytoplasm and membrane on human colon carcinoma by immunohistochemical analysis. Sample: Paraffin-embedded colon carcinoma. VPS35 Polyclonal Antibody (Product # PA5-21898) dilution: 1:250. Antigen Retrieval: EDTA based buffer, pH 8.0, 15 min.
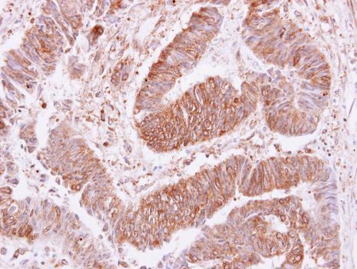
Supportive validation
- Submitted by
- Invitrogen Antibodies (provider)
- Main image

- Experimental details
- Immunoprecipitation of VPS35 was performed on HAP1 WT cell lysate. Antibody-bead conjugate was prepared by adding 2 µg of VPS35 Polyclonal Antibody (Product # PA5-21898) with 30 µL of Dynabeads™ Protein A (Product # 10002D) and rocked for ~1 hour at 4 degree celcius. One mg of protein was incubated with the antibody-bead conjugate for ~2 hours at 4 degree celcius. Following centrifugation and multiple washes, 2% starting material (SM), 2% unbound fraction (UB) and immunoprecipitated fraction (IP) were processed for immunoblot using a different antibody. Ponceau stained transfer of blot is shown (below immunoblot). Data courtesy of YCharOS Inc., an open science company with the mission of characterizing commercially available antibodies using knockout validation.