Antibody data
- Antibody Data
- Antigen structure
- References [0]
- Comments [0]
- Validations
- Immunocytochemistry [2]
- Immunohistochemistry [6]
Submit
Validation data
Reference
Comment
Report error
- Product number
- PA5-56108 - Provider product page

- Provider
- Invitrogen Antibodies
- Product name
- TTC38 Polyclonal Antibody
- Antibody type
- Polyclonal
- Antigen
- Recombinant protein fragment
- Description
- Immunogen sequence: PGENCQHLLA RDVGLPLCQA LVEAEDGNPD RVLELLLPIR YRIVQLGGSN AQRDVFNQLL IHAALNCTSS VHKNVARSLL MERDALKPNS PLTERLIRKA ATVHLM Highest antigen sequence identity to the following orthologs: Mouse - 92%, Rat - 91%.
- Reactivity
- Human, Rat
- Host
- Rabbit
- Isotype
- IgG
- Vial size
- 100 μL
- Concentration
- 0.30 mg/mL
- Storage
- Store at 4°C short term. For long term storage, store at -20°C, avoiding freeze/thaw cycles.
No comments: Submit comment
Supportive validation
- Submitted by
- Invitrogen Antibodies (provider)
- Main image

- Experimental details
- Immunofluorescent staining of TTC38 in human cell line U-2 OS shows positivity in cytoplasm. Samples were probed using a TTC38 Polyclonal Antibody (Product # PA5-56108).
- Submitted by
- Invitrogen Antibodies (provider)
- Main image

- Experimental details
- Immunofluorecent analysis of TTC38 in human cell line U-2 OS using TTC38 Polyclonal Antibody (Product # PA5-56108). Staining shows localization to cytosol.
Supportive validation
- Submitted by
- Invitrogen Antibodies (provider)
- Main image

- Experimental details
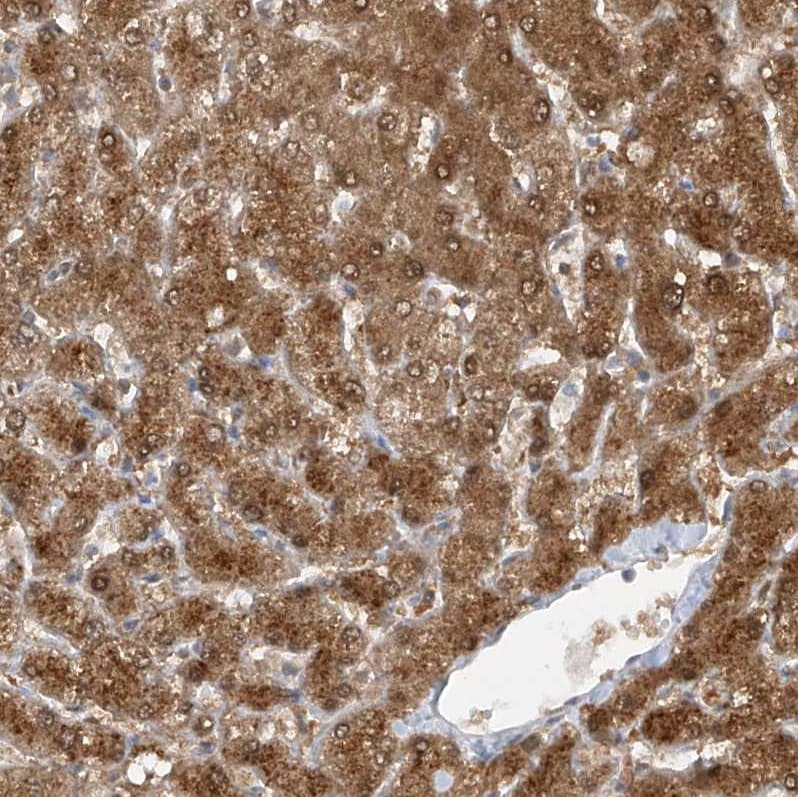
- Immunohistochemical analysis of TTC38 in human liver using TTC38 Polyclonal Antibody (Product # PA5-56108) shows strong cytoplasmic positivity in hepatocytes.
- Submitted by
- Invitrogen Antibodies (provider)
- Main image

- Experimental details
- Immunohistochemical analysis of TTC38 in human skeletal muscle using TTC38 Polyclonal Antibody (Product # PA5-56108) shows no cytoplasmic positivity in myocytes as expected.
- Submitted by
- Invitrogen Antibodies (provider)
- Main image

- Experimental details
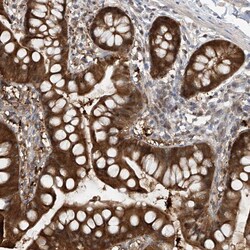
- Immunohistochemical analysis of TTC38 in human small intestine using TTC38 Polyclonal Antibody (Product # PA5-56108) shows strong cytoplasmic positivity in glandular cells.
- Submitted by
- Invitrogen Antibodies (provider)
- Main image

- Experimental details
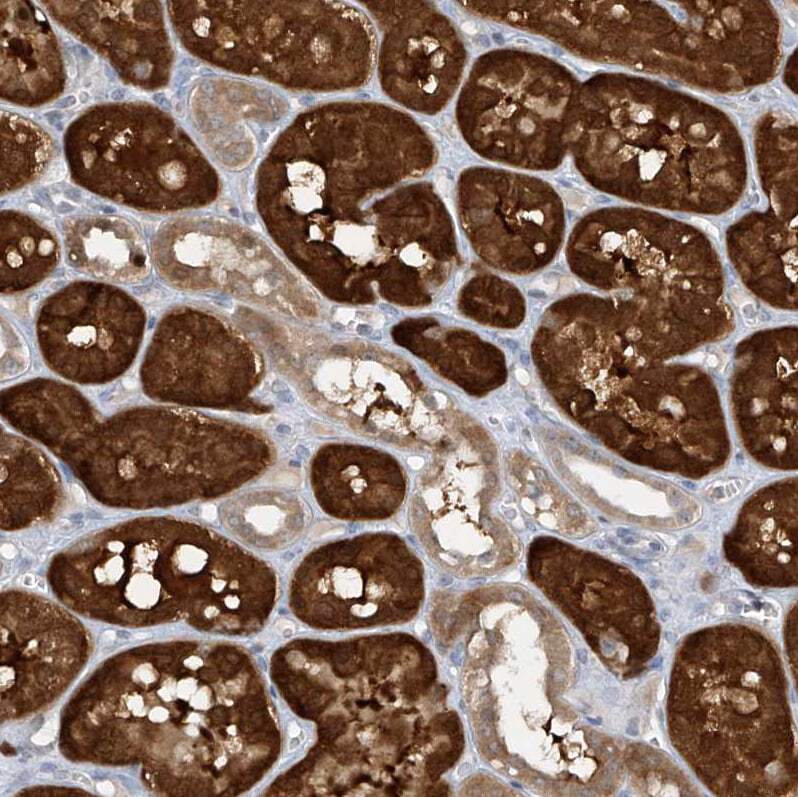
- Immunohistochemical analysis of TTC38 in human kidney using TTC38 Polyclonal Antibody (Product # PA5-56108) shows strong cytoplasmic positivity in cells in tubules.
- Submitted by
- Invitrogen Antibodies (provider)
- Main image

- Experimental details
- Immunohistochemical analysis of TTC38 in human liver using TTC38 Polyclonal Antibody (Product # PA5-56108) shows strong cytoplasmic positivity in hepatocytes.
- Submitted by
- Invitrogen Antibodies (provider)
- Main image

- Experimental details
- Immunohistochemical analysis of TTC38 in human kidney using TTC38 Polyclonal Antibody (Product # PA5-56108) shows strong cytoplasmic positivity in cells in tubules.