Antibody data
- Antibody Data
- Antigen structure
- References [0]
- Comments [0]
- Validations
- Western blot [2]
- Immunohistochemistry [5]
- Flow cytometry [1]
Submit
Validation data
Reference
Comment
Report error
- Product number
- NBP2-01578 - Provider product page

- Provider
- Novus Biologicals
- Product name
- Mouse Monoclonal OBFC2B Antibody
- Antibody type
- Monoclonal
- Description
- Affinity purified.
- Reactivity
- Human
- Host
- Mouse
- Isotype
- IgG
- Vial size
- 0.1 ml
- Concentration
- 0.45 mg/ml
- Storage
- Store at -20C. Avoid freeze-thaw cycles.
No comments: Submit comment
Supportive validation
- Submitted by
- Novus Biologicals (provider)
- Main image

- Experimental details
- Western Blot: OBFC2B Antibody (1E11) [NBP2-01578] - HEK293T cells were transfected with the pCMV6-ENTRY control (Left lane) or pCMV6-ENTRY OBFC2B (Right lane) cDNA for 48 hrs and lysed. Equivalent amounts of cell lysates (5 ug per lane) were separated by SDS-PAGE and immunoblotted with anti-OBFC2B.
- Submitted by
- Novus Biologicals (provider)
- Main image

- Experimental details
- Western Blot: OBFC2B Antibody (1E11) [NBP2-01578] Analysis of extracts (35ug) from 9 different cell lines by using anti-OBFC2B monoclonal antibody.
Supportive validation
- Submitted by
- Novus Biologicals (provider)
- Main image

- Experimental details
- Immunohistochemistry-Paraffin: OBFC2B Antibody (1E11) [NBP2-01578] - Staining of paraffin-embedded Adenocarcinoma of Human endometrium tissue using anti-OBFC2B mouse monoclonal antibody.
- Submitted by
- Novus Biologicals (provider)
- Main image

- Experimental details
- Immunohistochemistry-Paraffin: OBFC2B Antibody (1E11) [NBP2-01578] - Staining of paraffin-embedded Adenocarcinoma of Human ovary tissue using anti-OBFC2B mouse monoclonal antibody.
- Submitted by
- Novus Biologicals (provider)
- Main image

- Experimental details
- Immunohistochemistry-Paraffin: OBFC2B Antibody (1E11) [NBP2-01578] - Staining of paraffin-embedded Carcinoma of Human lung tissue using anti-OBFC2B mouse monoclonal antibody.
- Submitted by
- Novus Biologicals (provider)
- Main image

- Experimental details
- Immunohistochemistry-Paraffin: OBFC2B Antibody (1E11) [NBP2-01578] - Staining of paraffin-embedded Carcinoma of Human thyroid tissue using anti-OBFC2B mouse monoclonal antibody.
- Submitted by
- Novus Biologicals (provider)
- Main image

- Experimental details
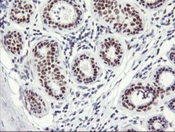
- Immunohistochemistry-Paraffin: OBFC2B Antibody (1E11) [NBP2-01578] - Staining of paraffin-embedded Human breast tissue using anti-OBFC2B mouse monoclonal antibody.
Supportive validation
- Submitted by
- Novus Biologicals (provider)
- Main image

- Experimental details
- Flow Cytometry: OBFC2B Antibody (1E11) [NBP2-01578] - HEK293T cells transfected with either overexpression plasmid (Red) or empty vector control plasmid (Blue) were immunostained by anti-OBFC2B antibody, and then analyzed by flow cytometry.