Antibody data
- Antibody Data
- Antigen structure
- References [0]
- Comments [0]
- Validations
- Western blot [1]
- Immunohistochemistry [4]
Submit
Validation data
Reference
Comment
Report error
- Product number
- LS-B15749 - Provider product page

- Provider
- LSBio
- Product name
- IHC-plus™ FKBP38 / FKBP8 Antibody LS-B15749
- Antibody type
- Polyclonal
- Description
- Protein G purified
- Reactivity
- Human, Mouse
- Host
- Rabbit
- Isotype
- IgG
- Storage
- Short term: -20°C; Long term: -80°C; Avoid freeze-thaw cycles.
No comments: Submit comment
Enhanced validation
- Submitted by
- LSBio (provider)
- Enhanced method
- Genetic validation
- Main image

- Experimental details
- Positive WB detected in:Jurkat whole cell lysate,Hela whole cell lysate,SH-SY5Y whole cell lysate,HEK293 whole cell lysate,Mouse liver tissue;All lanes:FKBP8 antibody at 3ug/ml;Secondary;Goat polyclonal to rabbit IgG at 1/50000 dilution;Predicted band size: 45,28 kDa;Observed band size: 55 kDa;
Supportive validation
- Submitted by
- LSBio (provider)
- Enhanced method
- Genetic validation
- Main image

- Experimental details
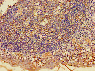
- Immunohistochemistry of paraffin-embedded human tonsil tissue using FKBP8 Antibody at dilution of 1:100
- Submitted by
- LSBio (provider)
- Enhanced method
- Genetic validation
- Main image

- Experimental details
- Immunohistochemistry of paraffin-embedded human testis tissue using FKBP8 Antibody at dilution of 1:100
- Submitted by
- LSBio (provider)
- Enhanced method
- Genetic validation
- Main image

- Experimental details
- Immunohistochemistry of paraffin-embedded human tonsil tissue using FKBP8 Antibody at dilution of 1:100
- Submitted by
- LSBio (provider)
- Enhanced method
- Genetic validation
- Main image

- Experimental details
- Immunohistochemistry of paraffin-embedded human testis tissue using FKBP8 Antibody at dilution of 1:100