Antibody data
- Antibody Data
- Antigen structure
- References [0]
- Comments [0]
- Validations
- Western blot [2]
- Immunohistochemistry [2]
Submit
Validation data
Reference
Comment
Report error
- Product number
- LS-C167982 - Provider product page

- Provider
- LSBio
- Product name
- KXD1 / C19orf50 Antibody (aa59-85) LS-C167982
- Antibody type
- Polyclonal
- Description
- Protein A purified
- Reactivity
- Human
- Host
- Rabbit
- Storage
- Maintain refrigerated at 2°C to 8°C for up to 6 months. For long term storage store at -20°C.
No comments: Submit comment
Enhanced validation
- Submitted by
- LSBio (provider)
- Enhanced method
- Genetic validation
- Main image

- Experimental details
- C19orf50 Antibody western blot of WiDr cell line lysates (35 ug/lane). The C19orf50 antibody detected the C19orf50 protein (arrow).
- Submitted by
- LSBio (provider)
- Enhanced method
- Genetic validation
- Main image

- Experimental details
- Western blot of C19orf50 (arrow) using rabbit polyclonal C19orf50 Antibody. 293 cell lysates (2 ug/lane) either nontransfected (Lane 1) or transiently transfected (Lane 2) with the C19orf50 gene.
Supportive validation
- Submitted by
- LSBio (provider)
- Enhanced method
- Genetic validation
- Main image

- Experimental details
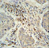
- C19orf50 Antibody immunohistochemistry of formalin-fixed and paraffin-embedded human lung carcinoma followed by peroxidase-conjugated secondary antibody and DAB staining.
- Submitted by
- LSBio (provider)
- Enhanced method
- Genetic validation
- Main image

- Experimental details
- C19orf50 Antibody immunohistochemistry of formalin-fixed and paraffin-embedded human lung carcinoma followed by peroxidase-conjugated secondary antibody and DAB staining.