Antibody data
- Antibody Data
 - Antigen structure
 - References [0]
 - Comments [0]
 - Validations
 - Immunohistochemistry [1]
 
Submit
Validation data
Reference
Comment
Report error
- Product number
 - OAAF02660 - Provider product page

 - Provider
 - Aviva Systems Biology
 - Product name
 - DCLK3 Antibody
 - Antibody type
 - Polyclonal
 - Reactivity
 - Human
 - Host
 - Rabbit
 - Vial size
 - 100µg
 - Storage
 - Store at -20°C/1 year
 
				No comments: Submit comment	
	
			
							
					Supportive validation
					
									
				
		- Submitted by
 - Aviva Systems Biology (provider)
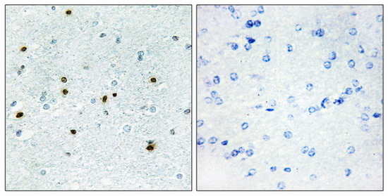
 - Main image
 
- Experimental details
 - Immunohistochemistry analysis of paraffin-embedded human brain tissue, using DCLK3 antibody. The picture on the right is treated with the synthesized peptide.