Antibody data
- Antibody Data
- Antigen structure
- References [0]
- Comments [0]
- Validations
- Western blot [1]
- Immunocytochemistry [1]
- Immunohistochemistry [3]
- Flow cytometry [3]
Submit
Validation data
Reference
Comment
Report error
- Product number
- TA501930 - Provider product page

- Provider
- OriGene
- Proper citation
- OriGene Cat#TA501930, RRID:AB_11124846
- Product name
- EPM2AIP1 mouse monoclonal antibody, clone OTI1F11 (formerly 1F11)
- Antibody type
- Monoclonal
- Description
- EPM2AIP1 mouse monoclonal antibody, clone OTI1F11 (formerly 1F11)
- Host
- Mouse
- Conjugate
- Unconjugated
- Epitope
- EPM2AIP1
- Isotype
- IgG
- Antibody clone number
- OTI1F11
- Vial size
- 100 µl
- Concentration
- 0.61 mg/ml
No comments: Submit comment
Supportive validation
- Submitted by
- OriGene (provider)
- Main image

- Experimental details
- HEK293T cells were transfected with the pCMV6-ENTRY control (Left lane) or pCMV6-ENTRY EPM2AIP1 (RC209239, Right lane) cDNA for 48 hrs and lysed. Equivalent amounts of cell lysates (5 ug per lane) were separated by SDS-PAGE and immunoblotted with anti-EPM2AIP1.
- Validation comment
- WB
Supportive validation
- Submitted by
- OriGene (provider)
- Main image

- Experimental details
- Anti-EPM2AIP1 mouse monoclonal antibody (TA501930) immunofluorescent staining of COS7 cells transiently transfected by pCMV6-ENTRY EPM2AIP1(RC209239).
- Validation comment
- IF
Supportive validation
- Submitted by
- OriGene (provider)
- Main image

- Experimental details
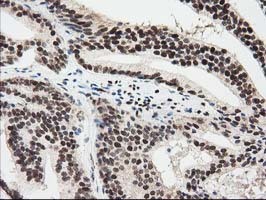
- Immunohistochemical staining of paraffin-embedded Carcinoma of Human prostate tissue using anti-EPM2AIP1 mouse monoclonal antibody at 1:150 (TA501930)
- Validation comment
- IHC
- Submitted by
- OriGene (provider)
- Main image

- Experimental details
- Immunohistochemical staining of paraffin-embedded Carcinoma of Human bladder tissue using anti-EPM2AIP1 mouse monoclonal antibody at 1:150 (TA501930)
- Validation comment
- IHC
- Submitted by
- OriGene (provider)
- Main image

- Experimental details
- Immunohistochemical staining of paraffin-embedded Human colon tissue within the normal limits using anti-EPM2AIP1 mouse monoclonal antibody at 1:150 (TA501930)
- Validation comment
- IHC
Supportive validation
- Submitted by
- OriGene (provider)
- Main image

- Experimental details
- Flow cytometric Analysis of Jurkat cells, using anti-EPM2AIP1 antibody(TA501930),(Red), compared to a nonspecific negative control antibody(TA50011),(Blue).
- Validation comment
- FC
- Submitted by
- OriGene (provider)
- Main image

- Experimental details
- Flow cytometric Analysis of Hela cells, using anti-EPM2AIP1 antibody(TA501930),(Red), compared to a nonspecific negative control antibody(TA50011),(Blue).
- Validation comment
- FC
- Submitted by
- OriGene (provider)
- Main image

- Experimental details
- HEK293T cells transfected with either RC209239 overexpress plasmid(Red) or empty vector control plasmid(Blue) were immunostained by anti-EPM2AIP1 antibody(TA501930), and then analyzed by flow cytometry.
- Validation comment
- FC