Antibody data
- Antibody Data
- Antigen structure
- References [0]
- Comments [0]
- Validations
- Western blot [1]
- Immunohistochemistry [1]
Submit
Validation data
Reference
Comment
Report error
- Product number
- PAB19411 - Provider product page

- Provider
- Abnova Corporation
- Proper citation
- Abnova Corporation Cat#PAB19411, RRID:AB_10902467
- Product name
- GLS2 polyclonal antibody
- Antibody type
- Polyclonal
- Description
- Rabbit polyclonal antibody raised against synthetic peptide of GLS2.
- Storage
- Store at 4°C for three months. For long term storage store at -20°C.Aliquot to avoid repeated freezing and thawing.
No comments: Submit comment
Supportive validation
- Submitted by
- Abnova Corporation (provider)
- Main image

- Experimental details
- Western blot analysis of GLS2 in rat kidney tissue lysate with GLS2 polyclonal antibody (Cat # PAB19411) at 0.5 ug/mL (lane 1) and 1 ug/mL (lane 2).
Supportive validation
- Submitted by
- Abnova Corporation (provider)
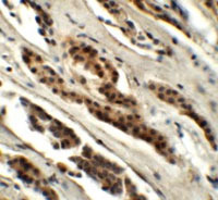
- Main image

- Experimental details
- Immunohistochemical staining of human kidney cells with GLS2 polyclonal antibody (Cat # PAB19411) at 5 ug/mL.
- Validation comment
- Immunohistochemistry