Antibody data
- Antibody Data
- Antigen structure
- References [3]
- Comments [0]
- Validations
- Western blot [2]
- Immunohistochemistry [1]
Submit
Validation data
Reference
Comment
Report error
- Product number
- NBP1-76544 - Provider product page

- Provider
- Novus Biologicals
- Proper citation
- Novus Cat#NBP1-76544, RRID:AB_11031431
- Product name
- Rabbit Polyclonal GLS2 Antibody
- Antibody type
- Polyclonal
- Description
- Immunogen affinity purified. Specificity for GLS2 versus GLS1 has not been determined.
- Reactivity
- Human, Mouse, Rat
- Host
- Rabbit
- Isotype
- IgG
- Vial size
- 0.1 mg
- Concentration
- 1 mg/ml
- Storage
- Store at 4C short term. Aliquot and store at -20C long term. Avoid freeze-thaw cycles.
Submitted references (18)F-labeled magnetic nanoparticles for monitoring anti-angiogenic therapeutic effects in breast cancer xenografts.
Metabolic Differences in Glutamine Utilization Lead to Metabolic Vulnerabilities in Prostate Cancer.
Antitumor activity of the glutaminase inhibitor CB-839 in triple-negative breast cancer.
Wang Y, Liu H, Yao D, Li J, Yang S, Zhang C, Chen W, Wang D
Journal of nanobiotechnology 2019 Oct 11;17(1):105
Journal of nanobiotechnology 2019 Oct 11;17(1):105
Metabolic Differences in Glutamine Utilization Lead to Metabolic Vulnerabilities in Prostate Cancer.
Zacharias NM, McCullough C, Shanmugavelandy S, Lee J, Lee Y, Dutta P, McHenry J, Nguyen L, Norton W, Jones LW, Bhattacharya PK
Scientific reports 2017 Nov 23;7(1):16159
Scientific reports 2017 Nov 23;7(1):16159
Antitumor activity of the glutaminase inhibitor CB-839 in triple-negative breast cancer.
Gross MI, Demo SD, Dennison JB, Chen L, Chernov-Rogan T, Goyal B, Janes JR, Laidig GJ, Lewis ER, Li J, Mackinnon AL, Parlati F, Rodriguez ML, Shwonek PJ, Sjogren EB, Stanton TF, Wang T, Yang J, Zhao F, Bennett MK
Molecular cancer therapeutics 2014 Apr;13(4):890-901
Molecular cancer therapeutics 2014 Apr;13(4):890-901
No comments: Submit comment
Supportive validation
- Submitted by
- Novus Biologicals (provider)
- Main image

- Experimental details
- Simple Western: GLS2 Antibody [NBP1-76544] - Simple Western lane view shows a specific band for GLS2 in 0.5 mg/ml of Hek293 lysate. This experiment was performed under reducing conditions using the 12-230 kDa separation system.
- Submitted by
- Novus Biologicals (provider)
- Main image

- Experimental details
- Western Blot: GLS2 Antibody [NBP1-76544] - Glutaminase protein expression in PC3 and PC3M cell lines before/after CB-839 treatment. PC3 & PC3M cells were treated (+) or not treated (-) with GLS1 inhibitor CB-839 (1 uM) and their expression of GLS1 & GLS2 proteins determined by Western blot. Antibodies specific for GAC & KCA were utilized on two replicate samples, while GLS2 expression was determined on three. PC3 cell lysates expressed GLS2 more than PC3M cell lysates regardless of CB-839 treatment. The difference in GLS2 expression was significant in the untreated cells (P?
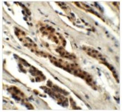
Supportive validation
- Submitted by
- Novus Biologicals (provider)
- Main image

- Experimental details
- Immunohistochemistry: GLS2 Antibody [NBP1-76544] - Immunohistochemistry of GLS2 in human kidney tissue with GLS2 antibody at 5 ug/mL.