Antibody data
- Antibody Data
- Antigen structure
- References [0]
- Comments [0]
- Validations
- Western blot [1]
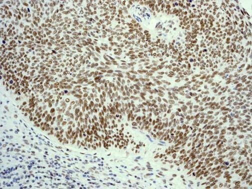
- Immunohistochemistry [2]
Submit
Validation data
Reference
Comment
Report error
- Product number
- ABIN2026540 - Provider product page

- Provider
- antibodies-online
- Product name
- anti-TAF9B RNA Polymerase II, TATA Box Binding Protein (TBP)-Associated Factor, 31kDa (TAF9B) antibody
- Antibody type
- Monoclonal
- Antigen
- A synthetic peptide corresponding to residues in human TAF9b was used as an immunogen.
- Description
- Cell Supernatant.
- Reactivity
- Human
- Host
- Rabbit
- Isotype
- IgG
- Antibody clone number
- EPR5266
- Vial size
- 0.1 mL
- Storage
- Store at -20°C. Stable for 12 months from date of receipt.
No comments: Submit comment
Supportive validation
- Submitted by
- antibodies-online (provider)
- Main image

- Experimental details
- Image(s): Western Blotting
Supportive validation
- Submitted by
- antibodies-online (provider)
- Main image

- Experimental details
- Image(s): Immunohistochemistry
- Submitted by
- antibodies-online (provider)
- Main image

- Experimental details
- Image(s): Immunohistochemistry