Antibody data
- Antibody Data
- Antigen structure
- References [0]
- Comments [0]
- Validations
- Immunohistochemistry [12]
Submit
Validation data
Reference
Comment
Report error
- Product number
- NBP2-38603 - Provider product page

- Provider
- Novus Biologicals
- Product name
- Rabbit Polyclonal MYOM1 Antibody
- Antibody type
- Polyclonal
- Description
- Immunogen affinity purified. Specificity of human MYOM1 antibody verified on a Protein Array containing target protein plus 383 other non-specific proteins.
- Reactivity
- Human
- Host
- Rabbit
- Isotype
- IgG
- Vial size
- 0.1 ml
- Storage
- Store at 4C short term. Aliquot and store at -20C long term. Avoid freeze-thaw cycles.
No comments: Submit comment
Supportive validation
- Submitted by
- Novus Biologicals (provider)
- Main image

- Experimental details
- Immunohistochemistry-Paraffin: MYOM1 Antibody [NBP2-38603] - Staining of human heart muscle shows high expression.
- Submitted by
- Novus Biologicals (provider)
- Main image

- Experimental details
- Immunohistochemistry-Paraffin: MYOM1 Antibody [NBP2-38603] - Staining of human prostate shows low expression as expected.
- Submitted by
- Novus Biologicals (provider)
- Main image

- Experimental details
- Immunohistochemistry-Paraffin: MYOM1 Antibody [NBP2-38603] - Staining of human cerebral cortex.
- Submitted by
- Novus Biologicals (provider)
- Main image

- Experimental details
- Immunohistochemistry-Paraffin: MYOM1 Antibody [NBP2-38603] - Staining of human testis.
- Submitted by
- Novus Biologicals (provider)
- Main image

- Experimental details
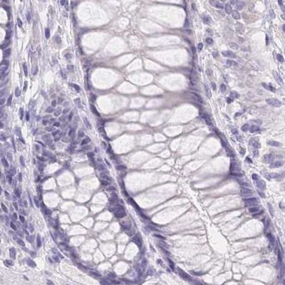
- Immunohistochemistry-Paraffin: MYOM1 Antibody [NBP2-38603] - Staining of human colon.
- Submitted by
- Novus Biologicals (provider)
- Main image

- Experimental details
- Immunohistochemistry-Paraffin: MYOM1 Antibody [NBP2-38603] - Staining of human skeletal muscle.
- Submitted by
- Novus Biologicals (provider)
- Main image

- Experimental details
- Immunohistochemistry-Paraffin: MYOM1 Antibody [NBP2-38603] - Analysis in human heart muscle and pancreas tissues. Corresponding MYOM1 RNA-seq data are presented for the same tissues.
- Submitted by
- Novus Biologicals (provider)
- Main image

- Experimental details
- Immunohistochemistry-Paraffin: MYOM1 Antibody [NBP2-38603] - Staining of human heart muscle, pancreas, prostate and skeletal muscle using Anti-MYOM1 antibody NBP2-38603 (A) shows similar protein distribution across tissues to independent antibody NBP1-86460 (B).
- Submitted by
- Novus Biologicals (provider)
- Main image

- Experimental details
- Immunohistochemistry-Paraffin: MYOM1 Antibody [NBP2-38603] - Staining of human heart muscle shows strong cytoplasmic positivity in myocytes.
- Submitted by
- Novus Biologicals (provider)
- Main image

- Experimental details
- Immunohistochemistry-Paraffin: MYOM1 Antibody [NBP2-38603] - Staining of human pancreas shows no positivity in exocrine glandular cells as expected.
- Submitted by
- Novus Biologicals (provider)
- Main image

- Experimental details
- Immunohistochemistry-Paraffin: MYOM1 Antibody [NBP2-38603] - Staining of human skeletal muscle shows cytoplasmic positivity in myocytes.
- Submitted by
- Novus Biologicals (provider)
- Main image

- Experimental details
- Immunohistochemistry-Paraffin: MYOM1 Antibody [NBP2-38603] - Staining of human prostate shows no positivity in smooth muscle cells as expected.