Antibody data
- Antibody Data
- Antigen structure
- References [0]
- Comments [0]
- Validations
- Western blot [1]
- Immunohistochemistry [9]
Submit
Validation data
Reference
Comment
Report error
- Product number
- TA803791 - Provider product page

- Provider
- OriGene
- Proper citation
- OriGene Cat#TA803791, RRID:AB_2626991
- Product name
- NRBF2 mouse monoclonal antibody, clone OTI1A4 (formerly 1A4)
- Antibody type
- Monoclonal
- Description
- NRBF2 mouse monoclonal antibody, clone OTI1A4 (formerly 1A4)
- Host
- Mouse
- Conjugate
- Unconjugated
- Epitope
- NRBF2
- Isotype
- IgG
- Antibody clone number
- OTI1A4
- Vial size
- 100 µl
- Concentration
- 1 mg/ml
No comments: Submit comment
Supportive validation
- Submitted by
- OriGene (provider)
- Main image

- Experimental details
- HEK293T cells were transfected with the pCMV6-ENTRY control (Left lane) or pCMV6-ENTRY NRBF2 (RC204061, Right lane) cDNA for 48 hrs and lysed. Equivalent amounts of cell lysates (5 ug per lane) were separated by SDS-PAGE and immunoblotted with anti-NRBF2.
- Validation comment
- WB
Supportive validation
- Submitted by
- OriGene (provider)
- Main image

- Experimental details
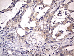
- Immunohistochemical staining of paraffin-embedded Adenocarcinoma of Human colon tissue using anti-NRBF2 mouse monoclonal antibody. (TA803791) Dilution: 1:150
- Validation comment
- IHC
- Submitted by
- OriGene (provider)
- Main image

- Experimental details
- Immunohistochemical staining of paraffin-embedded Carcinoma of Human liver tissue using anti-NRBF2 mouse monoclonal antibody. (TA803791) Dilution: 1:150
- Validation comment
- IHC
- Submitted by
- OriGene (provider)
- Main image

- Experimental details
- Immunohistochemical staining of paraffin-embedded Carcinoma of Human lung tissue using anti-NRBF2 mouse monoclonal antibody. (TA803791) Dilution: 1:150
- Validation comment
- IHC
- Submitted by
- OriGene (provider)
- Main image

- Experimental details
- Immunohistochemical staining of paraffin-embedded Adenocarcinoma of Human ovary tissue using anti-NRBF2 mouse monoclonal antibody. (TA803791) Dilution: 1:150
- Validation comment
- IHC
- Submitted by
- OriGene (provider)
- Main image

- Experimental details
- Immunohistochemical staining of paraffin-embedded Human pancreas tissue within the normal limits using anti-NRBF2 mouse monoclonal antibody. (TA803791) Dilution: 1:150
- Validation comment
- IHC
- Submitted by
- OriGene (provider)
- Main image

- Experimental details
- Immunohistochemical staining of paraffin-embedded Carcinoma of Human pancreas tissue using anti-NRBF2 mouse monoclonal antibody. (TA803791) Dilution: 1:150
- Validation comment
- IHC
- Submitted by
- OriGene (provider)
- Main image

- Experimental details
- Immunohistochemical staining of paraffin-embedded Human lymph node tissue within the normal limits using anti-NRBF2 mouse monoclonal antibody. (TA803791) Dilution: 1:150
- Validation comment
- IHC
- Submitted by
- OriGene (provider)
- Main image

- Experimental details
- Immunohistochemical staining of paraffin-embedded Human lymphoma tissue using anti-NRBF2 mouse monoclonal antibody. (TA803791) Dilution: 1:150
- Validation comment
- IHC
- Submitted by
- OriGene (provider)
- Main image

- Experimental details
- Immunohistochemical staining of paraffin-embedded Human tonsil within the normal limits using anti-NRBF2 mouse monoclonal antibody. (TA803791) Dilution: 1:150
- Validation comment
- IHC