ABIN1534699
antibody from antibodies-online
Targeting: HGH1
Brp16, C8orf30A, C8orf30B, FAM203A, FAM203B, FLJ40907, LOC51236
Antibody data
- Antibody Data
- Antigen structure
- References [0]
- Comments [0]
- Validations
- Western blot [1]
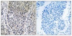
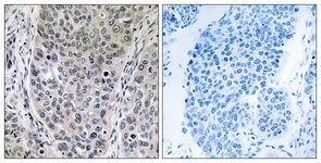
- Immunohistochemistry [1]
Submit
Validation data
Reference
Comment
Report error
- Product number
- ABIN1534699 - Provider product page

- Provider
- antibodies-online
- Product name
- anti-Family with Sequence Similarity 203, Member A (FAM203A) (AA 251-300) antibody
- Antibody type
- Polyclonal
- Description
- The antibody was purified from rabbit antiserum by affinity-chromatography using immunogen.
- Reactivity
- Human, Mouse, Rat
- Host
- Rabbit
- Epitope
- AA 251-300
- Isotype
- IgG
- Vial size
- 100 μg
- Storage
- Stable at -20°C for at least 1 year.
No comments: Submit comment
Supportive validation
- Submitted by
- antibodies-online (provider)
- Main image

- Experimental details
- WB
Supportive validation
- Submitted by
- antibodies-online (provider)
- Main image

- Experimental details
- IHC