TA315454
antibody from OriGene
Targeting: HGH1
Brp16, C8orf30A, C8orf30B, FAM203A, FAM203B, FLJ40907, LOC51236
Antibody data
- Antibody Data
- Antigen structure
- References [0]
- Comments [0]
- Validations
- Western blot [1]
- Immunohistochemistry [1]
Submit
Validation data
Reference
Comment
Report error
- Product number
- TA315454 - Provider product page

- Provider
- OriGene
- Product name
- Rabbit polyclonal anti-BRP16 antibody
- Antibody type
- Polyclonal
- Description
- Rabbit polyclonal anti-BRP16 antibody
- Host
- Rabbit
- Conjugate
- Unconjugated
- Epitope
- HGH1
- Isotype
- IgG
- Antibody clone number
- NULL
- Vial size
- 100 µl
- Concentration
- 1mg/ml
No comments: Submit comment
Supportive validation
- Submitted by
- OriGene (provider)
- Main image

- Experimental details
- Western blot analysis of extracts from COLO cells, using BRP16 antibody.The lane on the right is treated with the synthesized peptide.
- Validation comment
- WB
Supportive validation
- Submitted by
- OriGene (provider)
- Main image

- Experimental details
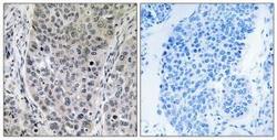
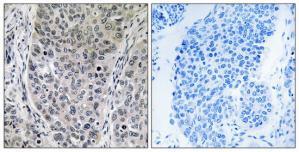
- Immunohistochemistry analysis of paraffin-embedded human lung carcinoma tissue, using BRP16 antibody.The picture on the right is treated with the synthesized peptide.
- Validation comment
- IHC