NBP2-54697
antibody from Novus Biologicals
Targeting: HGH1
Brp16, C8orf30A, C8orf30B, FAM203A, FAM203B, FLJ40907, LOC51236
Antibody data
- Antibody Data
- Antigen structure
- References [0]
- Comments [0]
- Validations
- Western blot [1]
- Immunohistochemistry [1]
Submit
Validation data
Reference
Comment
Report error
- Product number
- NBP2-54697 - Provider product page

- Provider
- Novus Biologicals
- Product name
- Rabbit Polyclonal Brp16 Antibody
- Antibody type
- Polyclonal
- Description
- Immunogen affinity purified. Specificity of human Brp16 antibody verified on a Protein Array containing target protein plus 383 other non-specific proteins.
- Reactivity
- Human
- Host
- Rabbit
- Isotype
- IgG
- Vial size
- 100 ul
- Storage
- Store at 4C short term. Aliquot and store at -20C long term. Avoid freeze-thaw cycles.
No comments: Submit comment
Supportive validation
- Submitted by
- Novus Biologicals (provider)
- Main image

- Experimental details
- Western Blot: Brp16 Antibody [NBP2-54697] - Lane 1: Marker [kDa] 250, 130, 95, 72, 55, 36, 28, 17, 10 Lane 2: Human cell line RT-4 Lane 3: Human cell line U-251 MG Lane 4: Human plasma Lane 5: Human Liver tissue Lane 6: Human Tonsil tissue
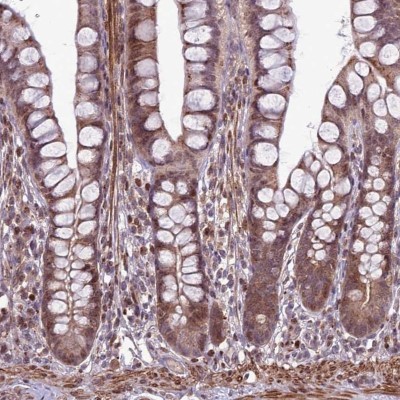
Supportive validation
- Submitted by
- Novus Biologicals (provider)
- Main image

- Experimental details
- Immunohistochemistry-Paraffin: Brp16 Antibody [NBP2-54697] - Staining of human small intestine shows moderate cytoplasmic and nuclear positivity in glandular cells.