PAB17633
antibody from Abnova Corporation
Targeting: HGH1
Brp16, C8orf30A, C8orf30B, FAM203A, FAM203B, FLJ40907, LOC51236
Antibody data
- Antibody Data
- Antigen structure
- References [0]
- Comments [0]
- Validations
- Western blot [1]
- Immunohistochemistry [1]
Submit
Validation data
Reference
Comment
Report error
- Product number
- PAB17633 - Provider product page

- Provider
- Abnova Corporation
- Proper citation
- Abnova Corporation Cat#PAB17633, RRID:AB_10643051
- Product name
- C8orf30A polyclonal antibody
- Antibody type
- Polyclonal
- Description
- Rabbit polyclonal antibody raised against synthetic peptide of C8orf30A.
- Storage
- Store at -20°C.Aliquot to avoid repeated freezing and thawing.
No comments: Submit comment
Supportive validation
- Submitted by
- Abnova Corporation (provider)
- Main image

- Experimental details
- Western blot analysis of extracts from COLO 205 cells, using C8orf30A polyclonal antibody (Cat # PAB17633).Peptide "+" means "with peptide blocking".
Supportive validation
- Submitted by
- Abnova Corporation (provider)
- Main image

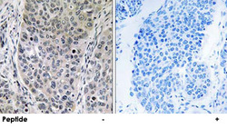
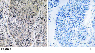
- Experimental details
- Immunohistochemistry analysis of paraffin-embedded human lung carcinoma tissue, using C8orf30A polyclonal antibody (Cat # PAB17633).Peptide "+" means "with peptide blocking".
- Validation comment
- Immunohistochemistry (Formalin/PFA-fixed paraffin-embedded sections)