PA5-59987
antibody from Invitrogen Antibodies
Targeting: HGH1
Brp16, C8orf30A, C8orf30B, FAM203A, FAM203B, FLJ40907, LOC51236
Antibody data
- Antibody Data
- Antigen structure
- References [0]
- Comments [0]
- Validations
- Western blot [1]
- Immunocytochemistry [2]
- Immunohistochemistry [2]
Submit
Validation data
Reference
Comment
Report error
- Product number
- PA5-59987 - Provider product page

- Provider
- Invitrogen Antibodies
- Product name
- HGH1 Polyclonal Antibody
- Antibody type
- Polyclonal
- Antigen
- Recombinant protein fragment
- Description
- Immunogen sequence: LVEAIMLLTA TAPGRQQVRD QGAYLILREL HSWEPEPDVR TACEKLIQVL IGDEPERGME NLLEVQVPED VEQQLQQLDC REQEQLEREL Highest antigen sequence identity to the following orthologs: Mouse - 87%, Rat - 82%.
- Reactivity
- Human
- Host
- Rabbit
- Isotype
- IgG
- Vial size
- 100 μL
- Concentration
- 0.4 mg/mL
- Storage
- Store at 4°C short term. For long term storage, store at -20°C, avoiding freeze/thaw cycles.
No comments: Submit comment
Supportive validation
- Submitted by
- Invitrogen Antibodies (provider)
- Main image

- Experimental details
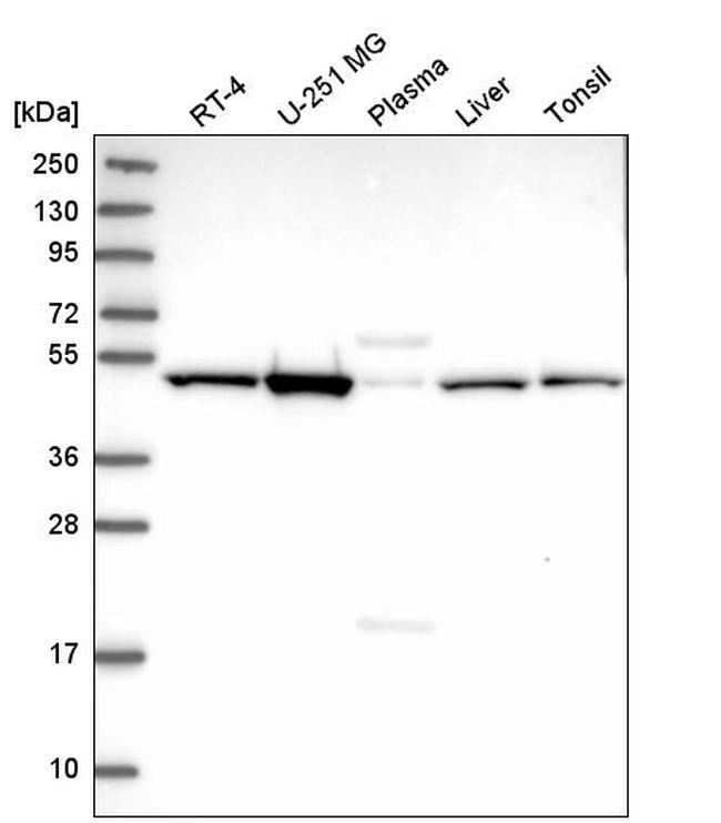
- Western blot analysis of C8orf30A in human cell line RT-4, human cell line U-251 MG, human plasma, human liver tissue and human tonsil tissue using a C8orf30A Polyclonal Antibody (Product # PA5-59987).
Supportive validation
- Submitted by
- Invitrogen Antibodies (provider)
- Main image

- Experimental details
- Immunofluorescent staining of C8orf30A in human cell line U-2 OS using a C8orf30A Polyclonal Antibody (Product # PA5-59987) shows localization to nucleoplasm, nuclear bodies and cytosol.
- Submitted by
- Invitrogen Antibodies (provider)
- Main image

- Experimental details
- Immunofluorescent staining of C8orf30A in human cell line U-2 OS using a C8orf30A Polyclonal Antibody (Product # PA5-59987) shows localization to nucleoplasm, nuclear bodies and cytosol.
Supportive validation
- Submitted by
- Invitrogen Antibodies (provider)
- Main image

- Experimental details
- Immunohistochemical staining of C8orf30A in human bone marrow using a C8orf30A Polyclonal Antibody (Product # PA5-59987) shows strong cytoplasmic positivity in hematopoietic cells.
- Submitted by
- Invitrogen Antibodies (provider)
- Main image

- Experimental details
- Immunohistochemical staining of C8orf30A in human bone marrow using a C8orf30A Polyclonal Antibody (Product # PA5-59987) shows strong cytoplasmic positivity in hematopoietic cells.