A01696T290-1
antibody from Boster Biological Technology
Targeting: MAP3K8
c-COT, COT, EST, ESTF, MEKK8, Tpl-2
Antibody data
- Antibody Data
- Antigen structure
- References [0]
- Comments [0]
- Validations
- Immunohistochemistry [1]
Submit
Validation data
Reference
Comment
Report error
- Product number
- A01696T290-1 - Provider product page

- Provider
- Boster Biological Technology
- Product name
- Anti-Phospho-Cot (T290) MAP3K8 Antibody
- Antibody type
- Polyclonal
- Description
- Anti-Phospho-Cot (T290) MAP3K8 Antibody validated for WB, IHC, IF, ELISA. Reactive to Human, Mouse, Rat.
- Reactivity
- Human, Mouse, Rat
- Host
- Rabbit
- Isotype
- IgG
- Vial size
- 100ul
- Concentration
- 1 mg/ml
- Storage
- At -20°C for one year. At 4°C for one month. It can also be aliquoted and stored frozen at -20°C for a longer time. Avoid repeated freezing and thawing.
No comments: Submit comment
Supportive validation
- Submitted by
- Boster Biological Technology (provider)
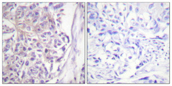
- Main image

- Experimental details
- Immunohistochemistry validation of MAP3K8 using Anti-Phospho-Cot (T290) MAP3K8 Antibody (A01696T290-1). Immunohistochemical analysis of paraffin-embedded Human breast cancer. Antibody was diluted at 1:100 (4°C
- Additional image
