Antibody data
- Antibody Data
- Antigen structure
- References [0]
- Comments [0]
- Validations
- Immunocytochemistry [2]
- Immunohistochemistry [1]
Submit
Validation data
Reference
Comment
Report error
- Product number
- PA5-61713 - Provider product page

- Provider
- Invitrogen Antibodies
- Product name
- CTDSPL Polyclonal Antibody
- Antibody type
- Polyclonal
- Antigen
- Recombinant protein fragment
- Description
- Immunogen sequence: AIITQVTNPK EDEGRLPGAG EKASQCNVSL KKQRSRSILS SFFCCFRDYN VEAPPPSSPS VLPPLVEENG GLQKGDQ Highest antigen sequence identity to the following orthologs: Mouse - 90%, Rat - 41%.
- Reactivity
- Human
- Host
- Rabbit
- Isotype
- IgG
- Vial size
- 100 μL
- Concentration
- 0.2 mg/mL
- Storage
- Store at 4°C short term. For long term storage, store at -20°C, avoiding freeze/thaw cycles.
No comments: Submit comment
Supportive validation
- Submitted by
- Invitrogen Antibodies (provider)
- Main image

- Experimental details
- Immunofluorescent staining of CTDSPL in human cell line U-2 OS shows positivity in vesicles. Samples were probed using a CTDSPL Polyclonal Antibody (Product # PA5-61713).
- Submitted by
- Invitrogen Antibodies (provider)
- Main image

- Experimental details
- Immunofluorecent analysis of CTDSPL in human cell line U-2 OS using CTDSPL Polyclonal Antibody (Product # PA5-61713). Staining shows localization to vesicles.
Supportive validation
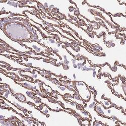
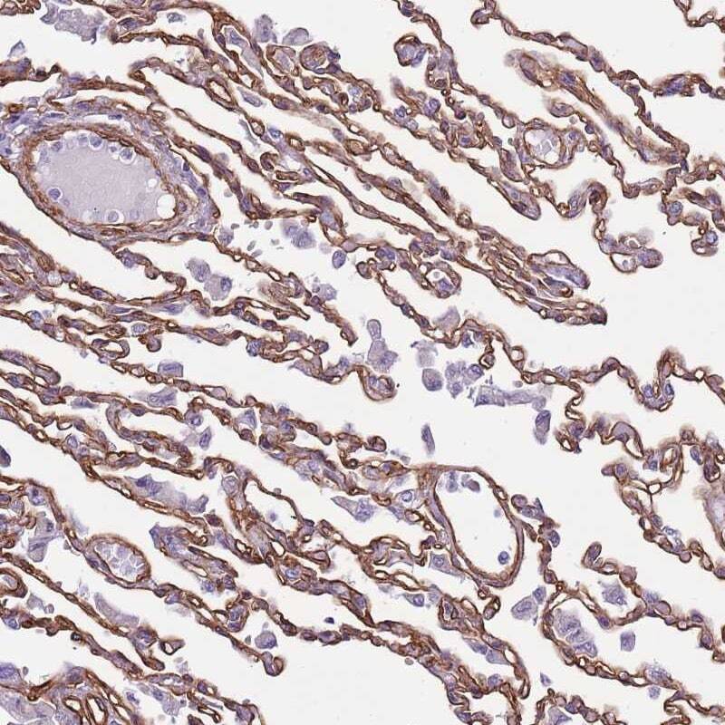
- Submitted by
- Invitrogen Antibodies (provider)
- Main image

- Experimental details
- Immunohistochemical analysis of CTDSPL in human lung using CTDSPL Polyclonal Antibody (Product # PA5-61713) shows moderate membranous positivity in pneumocytes.