Antibody data
- Antibody Data
- Antigen structure
- References [0]
- Comments [0]
- Validations
- Western blot [2]
- Immunohistochemistry [1]
Submit
Validation data
Reference
Comment
Report error
- Product number
- AP06400PU-N - Provider product page

- Provider
- OriGene
- Product name
- Mammaglobin A (SCGB2A2) rabbit polyclonal antibody, Aff - Purified
- Antibody type
- Polyclonal
- Description
- Mammaglobin A (SCGB2A2) rabbit polyclonal antibody, Aff - Purified
- Host
- Rabbit
- Conjugate
- Unconjugated
- Epitope
- SCGB2A2
- Antibody clone number
- NULL
- Vial size
- 100 µg
- Concentration
- 1.0 mg/ml
No comments: Submit comment
Supportive validation
- Submitted by
- OriGene (provider)
- Main image

- Experimental details
- Western blot (WB) analysis of Mammaglobin/SCGB2A2 antibody in extracts from HepG2 cells.
- Validation comment
- WB
- Submitted by
- OriGene (provider)
- Main image

- Experimental details
- Western blot ?analysis of Mammaglobin/SCGB2A2 antibody at 1/500 dilution: Lane 1: A549 whole cell lysate.? Lane 2: Raw264.7 whole cell lysate.? Lane 3: Rat brain tissue lysate.
- Validation comment
- WB
Supportive validation
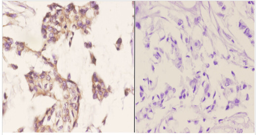
- Submitted by
- OriGene (provider)
- Main image

- Experimental details
- Immunohistochemistry analysis of Mammaglobin/SCGB2A2 antibody in paraffin-embedded human breast carcinoma tissue at 1/50 showing cytoplasmic and nucleus staining. Negative control (the right)Using PBS instead of primary antibody, secondary antibody is Goat Anti-Rabbit IgG Biotin followed by avidin peroxidase.
- Validation comment
- IHC