Antibody data
- Antibody Data
- Antigen structure
- References [0]
- Comments [0]
- Validations
- Western blot [1]
- Immunocytochemistry [1]
- Immunohistochemistry [1]
- Flow cytometry [1]
Submit
Validation data
Reference
Comment
Report error
- Product number
- MAB10386 - Provider product page

- Provider
- Abnova Corporation
- Proper citation
- Abnova Corporation Cat#MAB10386, RRID:AB_11188241
- Product name
- SCGB2A2 monoclonal antibody, clone 3C8
- Antibody type
- Monoclonal
- Description
- Mouse monoclonal antibody raised against recombinant SCGB2A2.
- Isotype
- IgG
- Antibody clone number
- 3C8
- Storage
- Store at 4°C. For long term storage store at -20°C.Aliquot to avoid repeated freezing and thawing.
No comments: Submit comment
Supportive validation
- Submitted by
- Abnova Corporation (provider)
- Main image

- Experimental details
- Western blot analysis using SCGB2A2 monoclonal antobody, clone 3C8 (Cat # MAB10386) against recombinant human SCGB2A2 protein.
Supportive validation
- Submitted by
- Abnova Corporation (provider)
- Main image

- Experimental details
- Immunofluorescence analysis of HeLa cells using SCGB2A2 monoclonal antobody, clone 3C8 (Cat # MAB10386) (green). Blue: DRAQ5 fluorescent DNA dye. Red: Actin filaments have been labeled with Alexa Fluor-555 phalloidin.
- Validation comment
- Immunofluorescence
Supportive validation
- Submitted by
- Abnova Corporation (provider)
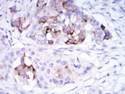
- Main image

- Experimental details
- Immunohistochemical analysis of paraffin-embedded human mammary cancer tissue using SCGB2A2 monoclonal antobody, clone 3C8 (Cat # MAB10386) with DAB staining.
- Validation comment
- Immunohistochemistry (Formalin/PFA-fixed paraffin-embedded sections)
Supportive validation
- Submitted by
- Abnova Corporation (provider)
- Main image

- Experimental details
- Flow cytometric analysis of SK-BR-3 cells using SCGB2A2 monoclonal antobody, clone 3C8 (Cat # MAB10386) (green) and negative control (purple).
- Validation comment
- Flow Cytometry