Antibody data
- Antibody Data
- Antigen structure
- References [0]
- Comments [0]
- Validations
- Immunohistochemistry [13]
Submit
Validation data
Reference
Comment
Report error
- Product number
- NBP1-82458 - Provider product page

- Provider
- Novus Biologicals
- Proper citation
- Novus Cat#NBP1-82458, RRID:AB_11029839
- Product name
- Rabbit Polyclonal P11 Antibody
- Antibody type
- Polyclonal
- Description
- Immunogen affinity purified. Specificity of human P11 antibody verified on a Protein Array containing target protein plus 383 other non-specific proteins.
- Reactivity
- Human
- Host
- Rabbit
- Isotype
- IgG
- Vial size
- 0.1 ml
- Storage
- Store at 4C short term. Aliquot and store at -20C long term. Avoid freeze-thaw cycles.
No comments: Submit comment
Supportive validation
- Submitted by
- Novus Biologicals (provider)
- Main image

- Experimental details
- Immunohistochemistry-Paraffin: P11 Antibody [NBP1-82458] - Staining of human placenta shows strong cytoplasmic positivity in trophoblastic cells.
- Submitted by
- Novus Biologicals (provider)
- Main image

- Experimental details
- Immunohistochemistry-Paraffin: P11 Antibody [NBP1-82458] - Staining of human esophagus shows high expression.
- Submitted by
- Novus Biologicals (provider)
- Main image

- Experimental details
- Immunohistochemistry-Paraffin: P11 Antibody [NBP1-82458] - Staining of human skeletal muscle shows low expression as expected.
- Submitted by
- Novus Biologicals (provider)
- Main image

- Experimental details
- Immunohistochemistry-Paraffin: P11 Antibody [NBP1-82458] - Staining of human esophagus, lymph node, skeletal muscle and testis using Anti-ENDOU antibody NBP1-82458 (A) shows similar protein distribution across tissues to independent antibody NBP2-55877 (B).
- Submitted by
- Novus Biologicals (provider)
- Main image

- Experimental details
- Immunohistochemistry-Paraffin: P11 Antibody [NBP1-82458] - Staining of human testis.
- Submitted by
- Novus Biologicals (provider)
- Main image

- Experimental details
- Immunohistochemistry-Paraffin: P11 Antibody [NBP1-82458] - Staining of human lymph node.
- Submitted by
- Novus Biologicals (provider)
- Main image

- Experimental details
- Immunohistochemistry-Paraffin: P11 Antibody [NBP1-82458] - Staining of human endometrium shows no positivity in glandular cells as expected.
- Submitted by
- Novus Biologicals (provider)
- Main image

- Experimental details
- Immunohistochemistry-Paraffin: P11 Antibody [NBP1-82458] - Staining of human esophagus shows strong cytoplasmic positivity in squamous epithelial cells.
- Submitted by
- Novus Biologicals (provider)
- Main image

- Experimental details
- Immunohistochemistry-Paraffin: P11 Antibody [NBP1-82458] - Staining of human esophagus, placenta, skeletal muscle and skin using Anti-ENDOU antibody NBP1-82458 (A) shows similar protein distribution across tissues to independent antibody NBP2-55877 (B).
- Submitted by
- Novus Biologicals (provider)
- Main image

- Experimental details
- Immunohistochemistry-Paraffin: P11 Antibody [NBP1-82458] - Staining of human placenta shows very strong cytoplasmic positivity in trophoblastic cells.
- Submitted by
- Novus Biologicals (provider)
- Main image

- Experimental details
- Immunohistochemistry-Paraffin: P11 Antibody [NBP1-82458] - Staining of human skeletal muscle shows no positivity in myocytes as expected.
- Submitted by
- Novus Biologicals (provider)
- Main image

- Experimental details
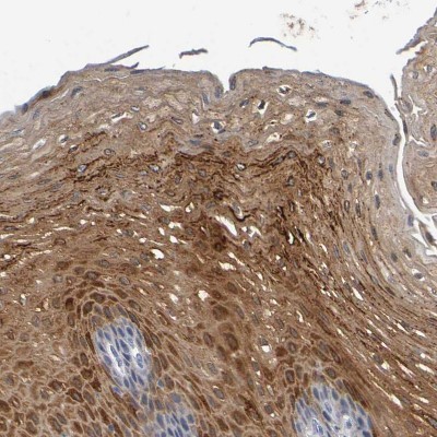
- Immunohistochemistry-Paraffin: P11 Antibody [NBP1-82458] - Staining of human skin shows strong cytoplasmic positivity in squamous epithelial cells.
- Submitted by
- Novus Biologicals (provider)
- Main image

- Experimental details
- Immunohistochemistry-Paraffin: P11 Antibody [NBP1-82458] - Staining in human esophagus and endometrium tissues using NBP1-82458 antibody. Corresponding ENDOU RNA-seq data are presented for the same tissues.