Antibody data
- Antibody Data
- Antigen structure
- References [0]
- Comments [0]
- Validations
- Immunohistochemistry [5]
Submit
Validation data
Reference
Comment
Report error
- Product number
- NBP1-87394 - Provider product page

- Provider
- Novus Biologicals
- Proper citation
- Novus Cat#NBP1-87394, RRID:AB_11003307
- Product name
- Rabbit Polyclonal RP5-1077B9.4 Antibody
- Antibody type
- Polyclonal
- Description
- Immunogen affinity purified. Specificity of human RP5-1077B9.4 antibody verified on a Protein Array containing target protein plus 383 other non-specific proteins.
- Reactivity
- Human
- Host
- Rabbit
- Isotype
- IgG
- Vial size
- 0.1 ml
- Storage
- Store at 4C short term. Aliquot and store at -20C long term. Avoid freeze-thaw cycles.
No comments: Submit comment
Supportive validation
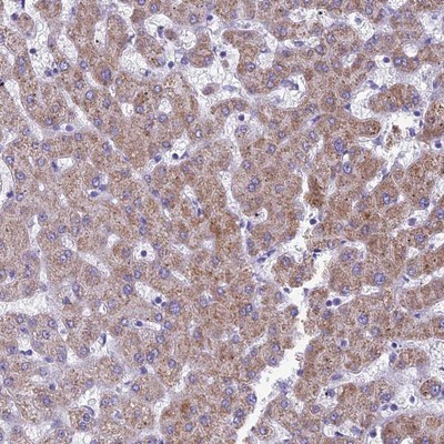
- Submitted by
- Novus Biologicals (provider)
- Main image

- Experimental details
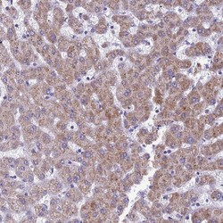
- Immunohistochemistry-Paraffin: RP5-1077B9.4 Antibody [NBP1-87394] - Staining of human liver shows moderate cytoplasmic positivity in hepatocytes.
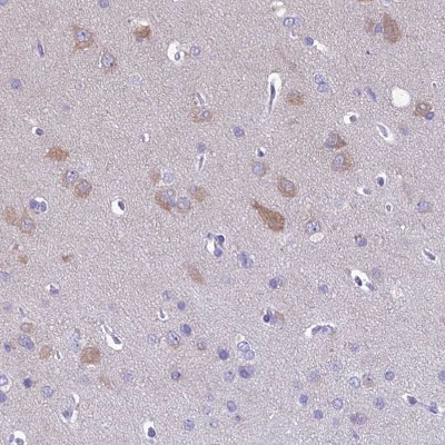
- Submitted by
- Novus Biologicals (provider)
- Main image

- Experimental details
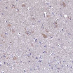
- Immunohistochemistry-Paraffin: RP5-1077B9.4 Antibody [NBP1-87394] - Staining of human cerebral cortex shows moderate cytoplasmic positivity in neuronal cells.
- Submitted by
- Novus Biologicals (provider)
- Main image

- Experimental details
- Immunohistochemistry-Paraffin: RP5-1077B9.4 Antibody [NBP1-87394] - Staining of human cerebral cortex shows weak to moderate cytoplasmic positivity in neuronal cells.
- Submitted by
- Novus Biologicals (provider)
- Main image

- Experimental details
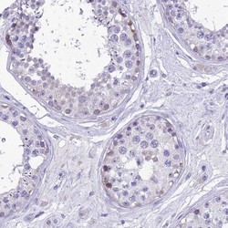
- Immunohistochemistry-Paraffin: RP5-1077B9.4 Antibody [NBP1-87394] - Staining of human testis shows weak cytoplasmic positivity in spermatogonia.
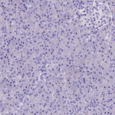
- Submitted by
- Novus Biologicals (provider)
- Main image

- Experimental details
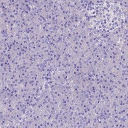
- Immunohistochemistry-Paraffin: RP5-1077B9.4 Antibody [NBP1-87394] - Staining of human pancreas shows no positivity in exocrine glandular cells as expected.