Antibody data
- Antibody Data
- Antigen structure
- References [0]
- Comments [0]
- Validations
- Immunohistochemistry [2]
- Other assay [1]
Submit
Validation data
Reference
Comment
Report error
- Product number
- 56033-MSM1-P0 - Provider product page

- Provider
- Invitrogen Antibodies
- Product name
- BARX1 Monoclonal Antibody (BARX1, 2759)
- Antibody type
- Monoclonal
- Antigen
- Recombinant protein fragment
- Reactivity
- Human
- Host
- Mouse
- Isotype
- IgG
- Antibody clone number
- BARX1, 2759
- Vial size
- 20 µg
- Concentration
- 200 µg/mL
- Storage
- 4° C
No comments: Submit comment
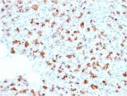
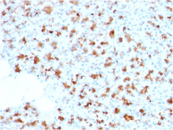
Supportive validation
- Submitted by
- Invitrogen Antibodies (provider)
- Main image

- Experimental details
- Immunohistochemistry (Paraffin) analysis performed in formalin fixed, paraffin-embedded human pancreas using BARX1 Monoclonal Antibody (Product # 56033-MSM1-P1).
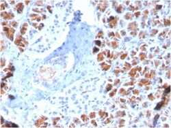
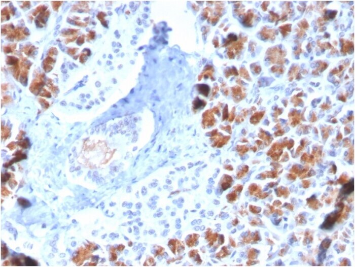
- Submitted by
- Invitrogen Antibodies (provider)
- Main image

- Experimental details
- Immunohistochemistry (Paraffin) analysis performed in formalin fixed, paraffin-embedded human pancreas using BARX1 Monoclonal Antibody (Product # 56033-MSM1-P1).
Supportive validation
- Submitted by
- Invitrogen Antibodies (provider)
- Main image

- Experimental details
- SDS-PAGE Analyis Purified BARX1 Monoclonal Antibody (Product # 56033-MSM1-P1). Confirmation of Purity and Integrity of Antibody.