Antibody data
- Antibody Data
- Antigen structure
- References [0]
- Comments [0]
- Validations
- Western blot [1]
- Immunoprecipitation [1]
Submit
Validation data
Reference
Comment
Report error
- Product number
- AM33418PU-N - Provider product page

- Provider
- OriGene
- Product name
- FTO mouse monoclonal antibody, clone FT86-4, Purified
- Antibody type
- Monoclonal
- Description
- FTO mouse monoclonal antibody, clone FT86-4, Purified
- Host
- Mouse
- Conjugate
- Unconjugated
- Epitope
- FTO
- Isotype
- IgG
- Antibody clone number
- FT86-4
- Vial size
- 50 µl
- Concentration
- 1.0 mg/ml
No comments: Submit comment
Supportive validation
- Submitted by
- OriGene (provider)
- Main image

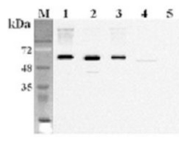
- Experimental details
- Western blot analysis using anti-FTO Antibody (human), mAb (FT86-4) at 1/2000 dilution and 100 ng protein. 1: Human FTO? 2: Mouse FTO? 3: Rat FTO 4: HEK 293 cell lysate (100 ug). 5: Human Calreticulin (negative control).
- Validation comment
- WB
Supportive validation
- Submitted by
- OriGene (provider)
- Main image

- Experimental details
- Immunoprecipitation of recombinant human FTO using anti-FTO (human), mAb (FT86-4), Recombinant human FTO proteins at different concentrations were IPed by FT86-4. The IPed proteins were separated by SDS-PAGE, electroblotted, and visualized by western blot with rabbit anti-mouse FTO pAb. 1: Human FTO (His-tagged) (100ng)? 2: Human FTO (His-tagged) (5 ug) 3: Human FTO (His-tagged) (2.5 ug) 4: Human FTO (His-tagged) (1.25 ug) 5: Human FTO (His-tagged) (0.625 ug) 6: Human FTO (His-tagged) (0.312 ug) 7: Human FTO (His-tagged) (0.156 ug) 8: Human FTO (His-tagged) (0.078 ug)
- Validation comment
- IP