Antibody data
- Antibody Data
- Antigen structure
- References [0]
- Comments [0]
- Validations
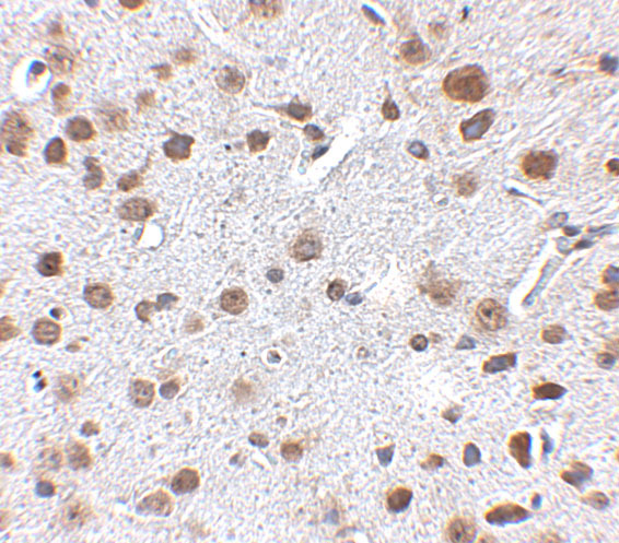
- Immunohistochemistry [1]
Submit
Validation data
Reference
Comment
Report error
- Product number
- A00219 - Provider product page

- Provider
- Boster Biological Technology
- Product name
- Anti-FTO Antibody
- Antibody type
- Polyclonal
- Description
- Anti-FTO Antibody validated for ELISA, WB, IHC, IF. Reactive to Human.
- Reactivity
- Human
- Host
- Rabbit
- Isotype
- IgG
- Vial size
- 0.1 mg
- Concentration
- 1 mg/mL
- Storage
- At -20°C for one year. At 4°C for one month. It can also be aliquoted and stored frozen at -20°C for a longer time. Avoid repeated freezing and thawing.
No comments: Submit comment
Supportive validation
- Submitted by
- Boster Biological Technology (provider)
- Main image

- Experimental details
- Immunohistochemistry of FTO in mouse brain tissue with FTO antibody at 2.5 μg/mL.
- Additional image
