Antibody data
- Antibody Data
- Antigen structure
- References [0]
- Comments [0]
- Validations
- Immunohistochemistry [7]
Submit
Validation data
Reference
Comment
Report error
- Product number
- NBP1-82883 - Provider product page

- Provider
- Novus Biologicals
- Proper citation
- Novus Cat#NBP1-82883, RRID:AB_11020520
- Product name
- Rabbit Polyclonal NEK1 Antibody
- Antibody type
- Polyclonal
- Description
- Immunogen affinity purified. Specificity of human NEK1 antibody verified on a Protein Array containing target protein plus 383 other non-specific proteins.
- Reactivity
- Human
- Host
- Rabbit
- Isotype
- IgG
- Vial size
- 0.1 ml
- Storage
- Store at 4C short term. Aliquot and store at -20C long term. Avoid freeze-thaw cycles.
No comments: Submit comment
Supportive validation
- Submitted by
- Novus Biologicals (provider)
- Main image

- Experimental details
- Immunohistochemistry-Paraffin: NEK1 Antibody [NBP1-82883] - Staining of human breast shows strong cytoplasmic and membranous positivity in glandular cells.
- Submitted by
- Novus Biologicals (provider)
- Main image

- Experimental details
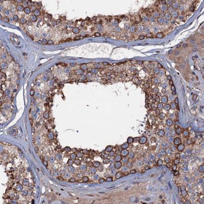
- Immunohistochemistry-Paraffin: NEK1 Antibody [NBP1-82883] - Staining of human testis shows strong cytoplasmic positivity in cells in seminiferous ducts.
- Submitted by
- Novus Biologicals (provider)
- Main image

- Experimental details
- Immunohistochemistry-Paraffin: NEK1 Antibody [NBP1-82883] - Staining of human endometrium, fallopian tube, skin and testis using Anti-NEK1 antibody NBP1-82883 (A) shows similar protein distribution across tissues to independent antibody NBP1-82884 (B).
- Submitted by
- Novus Biologicals (provider)
- Main image

- Experimental details
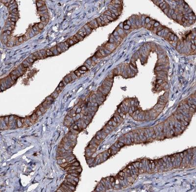
- Immunohistochemistry-Paraffin: NEK1 Antibody [NBP1-82883] - Staining of human Fallopian tube shows strong cytoplasmic/ membranous positivity in glandular cells.
- Submitted by
- Novus Biologicals (provider)
- Main image

- Experimental details
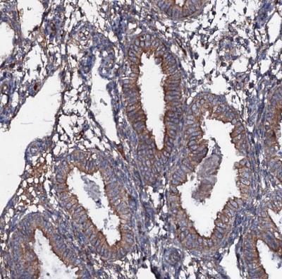
- Immunohistochemistry-Paraffin: NEK1 Antibody [NBP1-82883] - Staining of human endometrium shows moderate membranous positivity in glandular cells.
- Submitted by
- Novus Biologicals (provider)
- Main image

- Experimental details
- Immunohistochemistry-Paraffin: NEK1 Antibody [NBP1-82883] - Analysis in human testis and skin tissues using antibody. Corresponding NEK1 RNA-seq data are presented for the same tissues.
- Submitted by
- Novus Biologicals (provider)
- Main image

- Experimental details
- Immunohistochemistry-Paraffin: NEK1 Antibody [NBP1-82883] - Staining of human skin shows weak cytoplasmic positivity in squamous epithelial cells as expected.