Antibody data
- Antibody Data
- Antigen structure
- References [0]
- Comments [0]
- Validations
- Western blot [1]
- Immunocytochemistry [1]
- Immunohistochemistry [1]
Submit
Validation data
Reference
Comment
Report error
- Product number
- LS-C185665 - Provider product page

- Provider
- LSBio
- Product name
- FBXL6 Antibody (aa478-539) LS-C185665
- Antibody type
- Polyclonal
- Description
- Immunoaffinity purified
- Reactivity
- Human
- Host
- Rabbit
- Storage
- Keep as concentrated solution. Aliquot and store at -20°C or below. Avoid multiple freeze-thaw cycles.
No comments: Submit comment
Supportive validation
- Submitted by
- LSBio (provider)
- Main image

- Experimental details
- Sample (30 ug of whole cell lysate). A: HeLa S3. 10% SDS PAGE. FBXL6 antibody diluted at 1:1500
Supportive validation
- Submitted by
- LSBio (provider)
- Main image

- Experimental details
- FBL6 antibody [C3], C-term detects FBXL6 protein at cytoplasm by immunofluorescent analysis. HeLa cells were fixed in ice-cold MeOH for 5 min. FBXL6 protein stained by FBL6 antibody [C3], C-term diluted at 1:500.
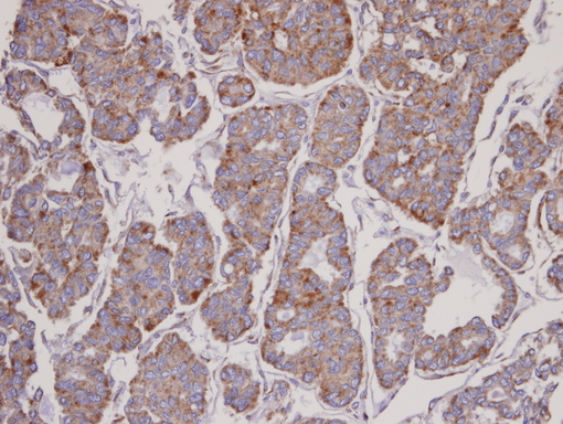
Supportive validation
- Submitted by
- LSBio (provider)
- Main image

- Experimental details
- IHC of paraffin-embedded Thyroid Ca using FBL6 antibody at 1:100 dilution.