NBP1-31454
antibody from Novus Biologicals
Targeting: BUD23
MERM1, MGC19709, MGC2022, MGC5140, PP3381, WBMT, WBSCR22
Antibody data
- Antibody Data
- Antigen structure
- References [1]
- Comments [0]
- Validations
- Western blot [2]
- Immunohistochemistry [2]
Submit
Validation data
Reference
Comment
Report error
- Product number
- NBP1-31454 - Provider product page

- Provider
- Novus Biologicals
- Proper citation
- Novus Cat#NBP1-31454, RRID:AB_2214937
- Product name
- Rabbit Polyclonal WBSCR22 Antibody
- Antibody type
- Polyclonal
- Description
- Immunogen affinity purified.
- Reactivity
- Human, Mouse
- Host
- Rabbit
- Isotype
- IgG
- Vial size
- 0.1 ml
- Storage
- Aliquot and store at -20C or -80C. Avoid freeze-thaw cycles.
Submitted references The novel metastasis promoter Merm1/Wbscr22 enhances tumor cell survival in the vasculature by suppressing Zac1/p53-dependent apoptosis.
Nakazawa Y, Arai H, Fujita N
Cancer research 2011 Feb 1;71(3):1146-55
Cancer research 2011 Feb 1;71(3):1146-55
No comments: Submit comment
Supportive validation
- Submitted by
- Novus Biologicals (provider)
- Main image

- Experimental details
- Western Blot: WBSCR22 Antibody [NBP1-31454] - Sample (30 ug of whole cell lysate) A: HeLa B: HCT116 12% SDS PAGE; antibody diluted at 1:1000.
- Submitted by
- Novus Biologicals (provider)
- Main image

- Experimental details
- Western Blot: WBSCR22 Antibody [NBP1-31454] - Sample: 1000 ug HeLa whole cell lysate/extract A. 40 ug HeLa whole cell lysate/extract, B. Control with 2. 5 ug of preimmune rabbit IgG, C. Immunoprecipitation of WBSCR22 protein by 2. 5 ug of WBSCR22 antibody 12% SDS-PAGE gel.
Supportive validation
- Submitted by
- Novus Biologicals (provider)
- Main image

- Experimental details
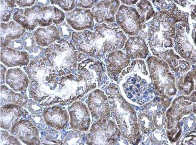
- Immunohistochemistry-Paraffin: WBSCR22 Antibody [NBP1-31454] - WBSCR22 antibody detects WBSCR22 protein at cytoplasm on mouse kidney by immunohistochemical analysis. Sample: Paraffin-embedded mouse kidney. WBSCR22 antibody diluted at 1:500.
- Submitted by
- Novus Biologicals (provider)
- Main image

- Experimental details
- Immunohistochemistry-Paraffin: WBSCR22 Antibody [NBP1-31454] - CA922 xenograft, using WBSCR22 antibody at 1:100 dilution. Antigen Retrieval: Trilogy™ (EDTA based, pH 8.0) buffer, 15min