Antibody data
- Antibody Data
- Antigen structure
- References [9]
- Comments [0]
- Validations
- Western blot [2]
- Immunocytochemistry [1]
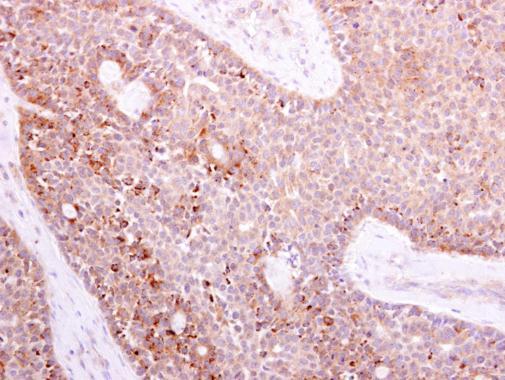
- Immunohistochemistry [1]
Submit
Validation data
Reference
Comment
Report error
- Product number
- GTX103888 - Provider product page

- Provider
- GeneTex
- Proper citation
- GeneTex Cat#GTX103888, RRID:AB_1951012
- Product name
- NOX1 antibody
- Antibody type
- Polyclonal
- Reactivity
- Human, Mouse, Rat
- Host
- Rabbit
Submitted references Gallic Acid Reduces Blood Pressure and Attenuates Oxidative Stress and Cardiac Hypertrophy in Spontaneously Hypertensive Rats.
Prostacyclin mimetics afford protection against lipopolysaccharide/d-galactosamine-induced acute liver injury in mice.
Interphotoreceptor Retinoid-Binding Protein Mitigates Cellular Oxidative Stress and Mitochondrial Dysfunction Induced by All-trans-Retinal.
Increasing muscle mass improves vascular function in obese (db/db) mice.
15-Deoxy-∆12,14-PGJ 2, by activating peroxisome proliferator-activated receptor-gamma, suppresses p22phox transcription to protect brain endothelial cells against hypoxia-induced apoptosis.
Neuronal NAD(P)H oxidases contribute to ROS production and mediate RGC death after ischemia.
NOX5 in human spermatozoa: expression, function, and regulation.
Nickel-induced epithelial-mesenchymal transition by reactive oxygen species generation and E-cadherin promoter hypermethylation.
Long-term methylglyoxal treatment impairs smooth muscle contractility in organ-cultured rat mesenteric artery.
Jin L, Piao ZH, Sun S, Liu B, Kim GR, Seok YM, Lin MQ, Ryu Y, Choi SY, Kee HJ, Jeong MH
Scientific reports 2017 Nov 15;7(1):15607
Scientific reports 2017 Nov 15;7(1):15607
Prostacyclin mimetics afford protection against lipopolysaccharide/d-galactosamine-induced acute liver injury in mice.
Misawa H, Ohashi W, Tomita K, Hattori K, Shimada Y, Hattori Y
Toxicology and applied pharmacology 2017 Nov 1;334:55-65
Toxicology and applied pharmacology 2017 Nov 1;334:55-65
Interphotoreceptor Retinoid-Binding Protein Mitigates Cellular Oxidative Stress and Mitochondrial Dysfunction Induced by All-trans-Retinal.
Lee M, Li S, Sato K, Jin M
Investigative ophthalmology & visual science 2016 Apr;57(4):1553-62
Investigative ophthalmology & visual science 2016 Apr;57(4):1553-62
Increasing muscle mass improves vascular function in obese (db/db) mice.
Qiu S, Mintz JD, Salet CD, Han W, Giannis A, Chen F, Yu Y, Su Y, Fulton DJ, Stepp DW
Journal of the American Heart Association 2014 Jun 25;3(3):e000854
Journal of the American Heart Association 2014 Jun 25;3(3):e000854
15-Deoxy-∆12,14-PGJ 2, by activating peroxisome proliferator-activated receptor-gamma, suppresses p22phox transcription to protect brain endothelial cells against hypoxia-induced apoptosis.
Wu JS, Tsai HD, Huang CY, Chen JJ, Lin TN
Molecular neurobiology 2014 Aug;50(1):221-38
Molecular neurobiology 2014 Aug;50(1):221-38
Neuronal NAD(P)H oxidases contribute to ROS production and mediate RGC death after ischemia.
Dvoriantchikova G, Grant J, Santos AR, Hernandez E, Ivanov D
Investigative ophthalmology & visual science 2012 May 14;53(6):2823-30
Investigative ophthalmology & visual science 2012 May 14;53(6):2823-30
NOX5 in human spermatozoa: expression, function, and regulation.
Musset B, Clark RA, DeCoursey TE, Petheo GL, Geiszt M, Chen Y, Cornell JE, Eddy CA, Brzyski RG, El Jamali A
The Journal of biological chemistry 2012 Mar 16;287(12):9376-88
The Journal of biological chemistry 2012 Mar 16;287(12):9376-88
Nickel-induced epithelial-mesenchymal transition by reactive oxygen species generation and E-cadherin promoter hypermethylation.
Wu CH, Tang SC, Wang PH, Lee H, Ko JL
The Journal of biological chemistry 2012 Jul 20;287(30):25292-302
The Journal of biological chemistry 2012 Jul 20;287(30):25292-302
Long-term methylglyoxal treatment impairs smooth muscle contractility in organ-cultured rat mesenteric artery.
Mukohda M, Morita T, Okada M, Hara Y, Yamawaki H
Pharmacological research 2012 Jan;65(1):91-9
Pharmacological research 2012 Jan;65(1):91-9
No comments: Submit comment
Supportive validation
- Submitted by
- GeneTex (provider)
- Main image

- Experimental details
- Sample (30 ?g of whole cell lysate) A: JC B: BCL-1 7.5% SDS PAGE GTX103888 diluted at 1:5000 The HRP-conjugated anti-rabbit IgG antibody (GTX213110-01) was used to detect the primary antibody.
- Submitted by
- GeneTex (provider)
- Main image

- Experimental details
- Sample (30 ?g of whole cell lysate) A: 293T B: A431 C: HeLa 7.5% SDS PAGE GTX103888 diluted at 1:2000 The HRP-conjugated anti-rabbit IgG antibody (GTX213110-01) was used to detect the primary antibody.
Supportive validation
- Submitted by
- GeneTex (provider)
- Main image

- Experimental details
- NOX1 antibody detects NOX1 protein at cytoplasm by immunofluorescent analysis. Sample: HepG2 cells were fixed in 4% paraformaldehyde at RT for 15 min.Green: NOX1 protein stained by NOX1 antibody (GTX103888) diluted at 1:500.Blue: Hoechst 33342 staining.
Supportive validation
- Submitted by
- GeneTex (provider)
- Main image

- Experimental details
- NOX1 antibody detects NOX1 protein at cytoplasm on human lung carcinoma by immunohistochemical analysis. Sample: Paraffin-embedded human lung carcinoma. NOX1 antibody (GTX103888) diluted at 1:500.