Antibody data
- Antibody Data
- Antigen structure
- References [0]
- Comments [0]
- Validations
- Western blot [1]
- Immunohistochemistry [2]
Submit
Validation data
Reference
Comment
Report error
- Product number
- LS-C375779 - Provider product page

- Provider
- LSBio
- Product name
- GDF5 / GDF-5 Antibody (aa202-501) LS-C375779
- Antibody type
- Polyclonal
- Description
- Immunoaffinity purified
- Reactivity
- Human
- Host
- Rabbit
- Isotype
- IgG
- Storage
- Short term: -20°C; Long term: -80°C; Avoid freeze-thaw cycles.
No comments: Submit comment
Enhanced validation
- Submitted by
- LSBio (provider)
- Enhanced method
- Genetic validation
- Main image

- Experimental details
- Western Blot Positive WB detected in: NIH/3T3 whole cell lysate All lanes: GDF5 antibody at 2.64µg/ml Secondary Goat polyclonal to rabbit IgG at 1/50000 dilution Predicted band size: 56 kDa Observed band size: 56 kDa
Supportive validation
- Submitted by
- LSBio (provider)
- Enhanced method
- Genetic validation
- Main image

- Experimental details
- Immunohistochemistry of paraffin-embedded human ovarian cancer using antibody at 1:100 dilution.
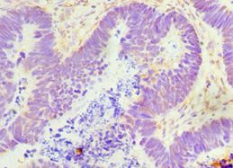
- Submitted by
- LSBio (provider)
- Enhanced method
- Genetic validation
- Main image

- Experimental details
- Immunohistochemistry of paraffin-embedded human rectal cancer using antibody at 1:100 dilution.