Antibody data
- Antibody Data
- Antigen structure
- References [0]
- Comments [0]
- Validations
- Western blot [1]
- Immunohistochemistry [1]
Submit
Validation data
Reference
Comment
Report error
- Product number
- GTX122103 - Provider product page

- Provider
- GeneTex
- Proper citation
- GeneTex Cat#GTX122103, RRID:AB_11169378
- Product name
- R3HDM2 antibody [N3C2], Internal
- Antibody type
- Polyclonal
- Reactivity
- Human
- Host
- Rabbit
No comments: Submit comment
Supportive validation
- Submitted by
- GeneTex (provider)
- Main image

- Experimental details
- Sample (30 ug of whole cell lysate) A: Jurkat 7.5% SDS PAGE GTX122103 diluted at 1:1000
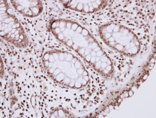
Supportive validation
- Submitted by
- GeneTex (provider)
- Main image

- Experimental details
- Immunohistochemical analysis of paraffin-embedded human colon carcinoma, using R3HDM2(GTX122103) antibody at 1:250 dilution.