Antibody data
- Antibody Data
- Antigen structure
- References [0]
- Comments [0]
- Validations
- Immunocytochemistry [1]
- Immunohistochemistry [1]
Submit
Validation data
Reference
Comment
Report error
- Product number
- PA5-63237 - Provider product page

- Provider
- Invitrogen Antibodies
- Product name
- MFSD3 Polyclonal Antibody
- Antibody type
- Polyclonal
- Antigen
- Recombinant full-length protein
- Description
- Immunogen sequence: VFHLDTLGAS MDAGTILRGS ALL
- Concentration
- Lot-Specific
No comments: Submit comment
Supportive validation
- Submitted by
- Invitrogen Antibodies (provider)
- Main image

- Experimental details
- Immunofluorescent staining of MFSD3 in human cell line HEK 293 using a MFSD3 Polyclonal Antibody (Product # PA5-63237) shows localization to vesicles.
Supportive validation
- Submitted by
- Invitrogen Antibodies (provider)
- Main image

- Experimental details
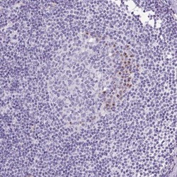
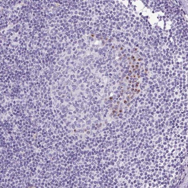
- Immunohistochemical staining of MFSD3 in human lymph node shows strong positivity in subsets of germinal center cells. Samples were probed using a MFSD3 Polyclonal Antibody (Product # PA5-63237).