Antibody data
- Antibody Data
 - Antigen structure
 - References [0]
 - Comments [0]
 - Validations
 - Western blot [1]
 - Immunohistochemistry [5]
 
Submit
Validation data
Reference
Comment
Report error
- Product number
 - LS-C400823 - Provider product page

 - Provider
 - LSBio
 - Product name
 - INHBC Antibody LS-C400823
 - Antibody type
 - Polyclonal
 - Description
 - Affinity purification
 - Reactivity
 - Human, Mouse, Rat
 - Host
 - Rabbit
 - Isotype
 - IgG
 - Storage
 - Store at -20°C. Avoid freeze-thaw cycles.
 
				No comments: Submit comment	
	
			
							
					Enhanced validation
					
									
				
				- Submitted by
 - LSBio (provider)
 - Enhanced method
 - Genetic validation
 - Main image
 
- Experimental details
 - Western blot analysis of 293T, hepG2, HeLa and A549 cell, using INHBC Polyclonal Antibody at dilution of 1:550.
 
							
					Supportive validation
					
									
				
		- Submitted by
 - LSBio (provider)
 - Enhanced method
 - Genetic validation
 - Main image
 
- Experimental details
 - Immunohistochemistry of paraffin-embedded Human thyroid cancer using INHBC Polyclonal Antibody at dilution of 1:50.
 
- Submitted by
 - LSBio (provider)
 - Enhanced method
 - Genetic validation
 - Main image
 
- Experimental details
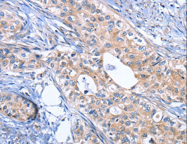
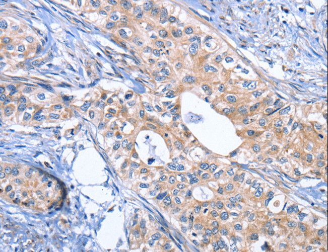
 - Immunohistochemistry of paraffin-embedded Human cervical cancer using INHBC Polyclonal Antibody at dilution of 1:50.
 
- Submitted by
 - LSBio (provider)
 - Enhanced method
 - Genetic validation
 - Main image
 
- Experimental details
 - Immunohistochemistry of paraffin-embedded Human cervical cancer using INHBC Polyclonal Antibody at dilution of 1:50.
 
- Submitted by
 - LSBio (provider)
 - Enhanced method
 - Genetic validation
 - Main image
 
- Experimental details
 - Immunohistochemistry of paraffin-embedded Human thyroid cancer using INHBC Polyclonal Antibody at dilution of 1:50.
 
- Submitted by
 - LSBio (provider)
 - Enhanced method
 - Genetic validation
 - Main image
 
- Experimental details
 - Immunohistochemistry of paraffin-embedded Human cervical cancer using INHBC Polyclonal Antibody at dilution of 1:50.